Introduction
An aneurysmal bone cyst (ABC) is an expansive benign bone lesion, which is very rare and usually occurs in people under 20 years old. ABCs can be divided into primary and secondary categories: primary ABCs are characterized by chromosome aberration related to the USP6 gene, and secondary ABCs are often caused by local vascular dysplasia created by bone tumors and trauma. It appears like a group of intraosseous cavities lacking endothelial membrane, some of which can show a polycystic structure and are filled with blood. An ABC can affect any part of the bone, but they are most commonly found in the vertebrae and long tubular bones; in rare cases, they can be found in the flat bone and craniofacial bone, mainly in the nasal cavity and paranasal sinuses. The present report illustrates one such case of a primary ABC in a one-year-old child.
Case Presentations
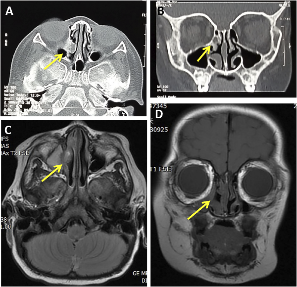
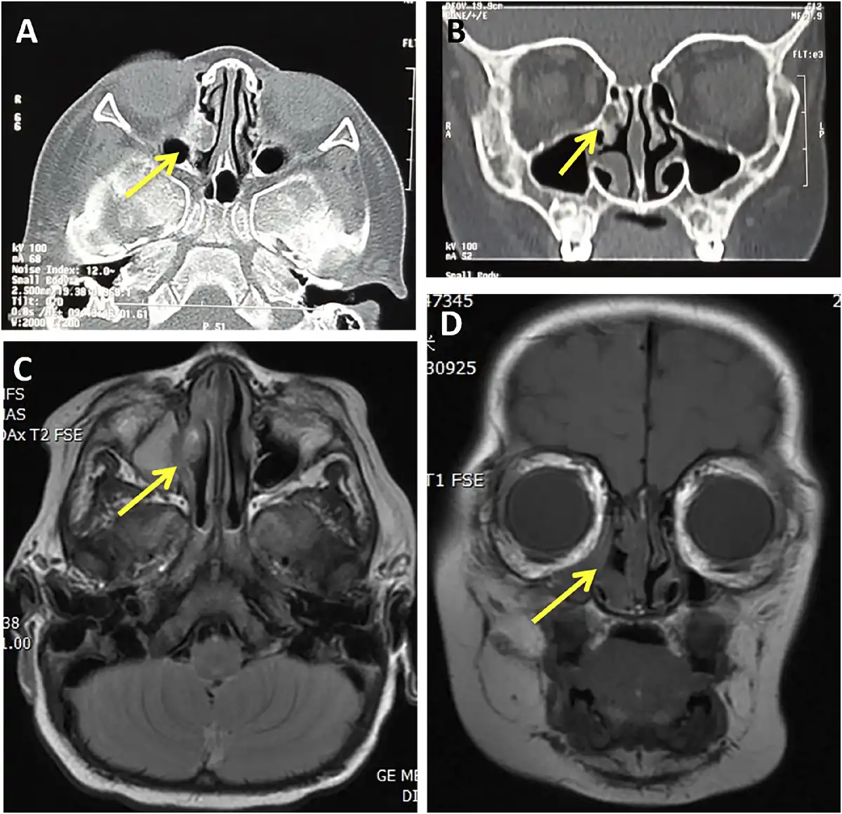
The patient was a one-year-old boy who had a right nasal obstruction for a whole month. The obstruction was progressive and obvious at night, and it was accompanied by intermittent nasal bleeding. A nasal examination revealed a firm red mass in the right nasal cavity. The tumor looked smooth and it was not separated from the surrounding mucous membrane tissue; it extended to the inferior conchae. There was no globe displacement or tooth loosening in the paranasal sinus area. In addition, there was no obvious abnormality in the results of the ophthalmic examination. The contrast-enhanced computed tomography (CECT) imaging of the orbits and paranasal sinuses showed complete opacification of the right ethmoid sinuses and nasal cavity (3.7 × 1.8 × 2.8 cm). However, the whole tumor had uneven enhancement and the boundary of the tumor was not clear. The mass compressed the maxillary sinus and the medial wall of the orbit. Erosion of the sinuses was observed (Figure 1 A.B). A magnetic resonance imaging (MRI) scan with gadolinium of the orbits and sinuses confirmed the unilateral pattern of sinus opacification within the right nasal cavity and ethmoid sinus. The lesion demonstrated multiple fluid–fluid levels and peripheral enhancement, considering the solid changes of the cyst with bleeding (Figure 1 C.D). The laboratory data (including a hematuria routine, serum calcium, serum alkaline phosphatase, and prothrombin time) were all normal.

Figure 1
CT Images of the ABC patient: The yellow arrow indicates the complete opacification of the right ethmoid sinuses and nasal cavity. The boundary of the tumor was not clear and had uneven enhancement. The mass compressed the maxillary sinus and the medial wall of the orbit. C.D: MRI Images of the ABC patient: The yellow arrow indicates a unilateral pattern of sinus opacification within the right nasal cavity and ethmoid sinus. The lesion demonstrated multiple fluid–fluid levels and peripheral enhancement, considering cyst solid change with hemorrhage. E.F: A yellow-white elliptical osteoma with a size of about 5 mm in diameter was seen at the patient’s middle nasal nail base plate. G.H: HE (hematoxylin and eosin) staining of the ABC patient’s pathological specimen. (G) The black arrow indicates multinucleated giant cells. ×200. (H) The yellow arrow indicates hemosiderin laden macrophages. ×200. I: The schematic diagram of FISH (fluorescence in situ hybridization) detection in children with ABC. It is suggested that USP6 breaks and translocates in tumor cells and is accompanied by loss of the green signal.
The patient underwent a nasal endoscopic tumor resection. During the operation, the lesion originated at the middle nasal meatus and contained several cystic areas filled with old blood secretion. A yellow-white elliptical osteoma (Figure 1 E.F) with a size of about 5 mm in diameter was seen at the middle nasal nail base plate. The mass was completely resected along the edge, and the right orbital wall disappeared. The orbital fascia was exposed and appeared intact, and the involved middle turbinate was resected. The patient had an uneventful recovery and was discharged on postoperative day 7.
The histopathological examination revealed a large number of incomplete lumens, as well as vascular extension which were filled with blood. In some areas, trabeculae of the reactive osteoid were present, as well as some hemosiderin laden macrophages and scattered multinucleated giant cells. The features were consistent with an ABC. An osteoma could be seen in the tissue, which was composed of spindle cells, polynuclear giant cells, and bone tissue. Osteoblasts were also seen around the bone (Figure 1 G.H).
It is known that aneurysmal bone cysts can be divided into primary and secondary types because of their different pathogeneses, but the child had no history of nasal trauma or bone tumors. Therefore, when a USP6 gene two-color separation probe for fluorescence was used, fluorescence in situ hybridization and the splitting apart of a green-orange probe signal indicated USP6 rearrangement. We found that 52% of spindle cells and multinucleated giant cells showed separate orange signals, 13% showed isolated red and green signals, 4% showed separate green signals, and 31% of negative cells (Figure 1 (i)). The results suggest that the child has USP6 rearrangement, which is a characteristic of primary ABC.
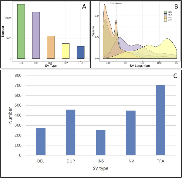
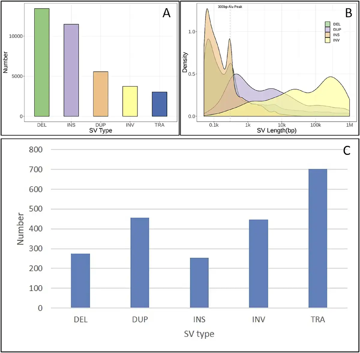
In order to further explore the structural variation of the USP6 gene, we used third generation sequencing techniques to detect the tissue samples of the child. However, due to the serious fragmentation of DNA (deoxyribonucleic acid) in the paraffin tissue samples of the child, which did not meet the standard of third generation extraction and database construction, the peripheral blood of the child and his parents were sequenced, and the structural variation data of the whole genome were obtained (Table 1). The relevant structural variation data of the child is shown in Figure 2 A.B.

Figure 2
Histogram of the number of structural variations in the whole genome of the child. B: Distribution map of structural variation length of the whole genome in the child. C: The number of somatic SV that only appeared in the child’s sample.
Based on the correlation analysis of the child’s samples, the structural variation of the normal samples was removed and the unique somatic SV data of the child’s samples were obtained (Table 2, Figure 2 (C)).
After using Ngmlr and Sniffles software to identify SV (structural variation), we used IGV (Integrative Genomics Viewer) and ribbon to look at the map to further manually correct the reliability of SV and focus on the analysis and comparison of primary ABC-related gene variation sites. No structural variation at the genomic level related to the disease was detected. It is believed that the results were due to the existing experimental samples and experimental technical platforms and methods.
Currently, there is no evidence of recurrence after 1 year since the operation (Figure 3).

Figure 3
The patient’s CT (A, B) and MRI (C, D) of paranasal sinuses after operation: The yellow arrows show the changes in the operative area 1 year after operation: no tumor recurrence, a small amount of local hyperosteogeny and mucosal thickening.
Discussion
Epidemiological Characteristics and Pathogenesis
The incidence of ABCs in the general population is 14/10 000 000, representing approximately 2% of total bone tumors. It is divided into primary and secondary categories, of which 30% are secondary. ABCs are encountered at all ages, but 75–90% of cases occur before the age of 20; there may be a slight female predominance. Gender distribution in China is 1.5:1, male to female, which is different from the epidemiological characteristics in the West. ABCs can occur in any part of the skeleton, especially the long bones (67% of cases), spine (15%), and pelvis (9%). Few cases of ABCs in the sinuses were reported before now. The skull and facial skeleton are involved in 3 to 6% of cases.
At present, the etiology of aneurysmal bone cysts is not clear, though there are 3 main theories, including genetic factors, blood vessels and trauma. Primary ABCs have been confirmed to have genetic abnormalities, and their pathogenesis is related to chromosome translocation t (16 × 17) (q22 × p13). Tumor genetics studies have shown that 70% of primary ABCs contain t (16-17) translocation. The t (16,17) fusion causes an upregulation of the TRE17/USP6 oncogene, which activates NF-kB (nuclear factor kappa-B) and matrix metalloproteinases (MMPs). The MMPs break down the extracellular matrix, allowing for the swift growth of lesions., Most of these balanced translocations occur between the short arm of chromosome 17 and the long arm of chromosome 16. The most common fusion partner is the promoter region of osteoblast cadherin11 gene (CDH11) 16q22. Alternative fusion partners for the USP6 gene have been subsequently described, which means this chromosome rearrangement can also occur between chromosome 17 and other chromosomes.- It has found the following fusion partners: THRAP3 (1p34.3), FOSL2 (2p23.2), CTNNB1 (3p22.1), CNBP (3q21.3), SEC31A (4q22.2), SPARC (5q33.1), OMD (9q22.31), PAFAH1B1 (17p13.3), COL1A1 (17q21.33), EIF1 (17q21.2), STAT3 (17q21.2), USP9X (Xp11), and ANGPTL2 (9q33).-
Conversely, secondary ABCs are closely related to bone lesions such as bone tumors, and most of them are secondary to benign bone tumors: the most common association is with giant cell tumors. Moreover, it can also be caused by chondroblastoma, prothrombin fibroma, osteoblastoma, or fibrous dysplasia and is rarely secondary to malignant tumors such as osteosarcoma, chondrosarcoma, and hemangioendothelioma. Trauma is also one of the causes of ABCs, but no matter the reason, the pathogenesis is closely related to changes of hemodynamics in bones. It is speculated that trauma or bone disease may result in hemangiomatous changes in arteriovenous vascular traffic. As the disease progresses, a local hemorrhage can gradually increase the hemangioma, compress and absorb the surrounding normal bone tissue, and appear like a cyst. Ping Yao et al reported a case of a maxillary sinus ABC after local trauma in 2004. A DSA (digital subtraction arteriography) was performed to diagnose the hemodynamics of the tumor. According to the analysis, the excessive proliferation of arterial vessels led to the perfusion of multiple arteries into the lesion area. In addition, it led to the relative delay of venous blood reflux, the continuous increase of pressure, and the dilatation of the vascular wall. All of this caused local bone resorption due to the formation and expansion of cysts.
Clinical Symptomatology
Clinical syndromes of ABCs depend on the site of the lesion. If a lesion occurs in the extremities or the sternum, then the symptoms consist of pain, which progressively worsens and becomes persistent, sometimes with swelling and pathological fractures. The symptoms of nerve compression and paraplegia can be found in patients with an ABC in the spinal column. However, ABCs in the nasal cavity and paranasal sinuses occur more unilaterally due to their special anatomical position, and the symptoms of compression and related functional disorders often manifest. Nasal obstruction is the most common primary complaint, sometimes with intermittent nosebleeds, which can stop spontaneously. This is consistent with the case we reported. Large masses can press the surrounding tissue. If they involve the orbit, they can cause proptosis, thus gradually worsening vision or causing diplopia. It can also lead to headache, loss of smell, infection, and cellulitis when the tumor involves the paranasal sinuses. Painless facial apophysis and loosening of the teeth are common initial symptoms when ABCs occur in the maxilla. If they are located in the temporal bone, the patient could have slowly progressive and painless lumps or ear pain, facial numbness, and hearing loss. Lesions involving the base of the skull are more likely to cause neurological disorders, including symptoms such as hypoxia, ataxia, intracranial pressure increase, spontaneous intracranial hemorrhage, epilepsy, and obstructive hydrocephalus.
Imaging Characteristics
Although the imaging findings of ABCs in the nasal cavity and paranasal sinuses are atypical, they also show some characteristic features. A computed tomography (CT) examination of ABCs showed that the tumor showed signs of swelling, mostly surrounded by a complete bone shell. The surrounding bone may be locally absorbed or unclear when compressed. During the growth process, the tumor continuously undergoes osteolytic destruction, and at the same time, there may be osteogenesis. The case that we reported did not show a complete bone shell on the CT scan. Due to the child’s young age and narrow nasal cavity, the tumor oppressed the medial orbital wall and nasal septum in the process of its expansive growth, resulting in local bone resorption. At the same time, there was osteogenesis in the tumor, resulting in unclear boundaries and uneven enhancement.
The lesion was shown with hypointense signal intensity on T1-weighted images and a homogenous increase in signal intensity on T2-weighted images. Some of the tumors could have fluid–fluid levels in the T2-weighted images, which is a characteristic of ABCs. Also, the upper layer showed homogenous increase in signal intensity in T2, which could be serous or newly bleeding methemoglobin; and the lower one showed hypointense signal intensity in T2, mainly old bleeding and hemosiderin deposition. The imaging in this patient did not show the typical fluid–fluid level, which might be related to the rapid progression of the disease.
Diagnosis and Differential Diagnosis
Combined with the history of the child, ABCs with typical CT and MRI features can lead to a preliminary diagnosis based only on the results of the imaging examination. However, the imaging features of many patients are difficult to distinguish from malignant tumors. Because secondary ABCs are mostly caused by bone lesions, it is very important to find out the original causes. If the lesion is suspected to be a malignant tumor, then a biopsy is recommended. A giant cell tumor of bone is the most benign common cause of secondary ABCs, and telangiectasia osteosarcoma is the most likely disease to accompany ABCs in malignant tumors. Sometimes, ABCs grow too fast because of local bleeding or a malignant tumor, which covers up the primary lesion.
The gold standard for the diagnosis of ABCs is postoperative pathological examination, but for ABCs which are difficult to distinguish morphologically, FISH (fluorescence in situ hybridization) can be used to detect whether the USP6 gene is broken. The sensitivity of this technique for detecting primary ABCs is 53%, and the specificity is 100%. We used FISH on the postoperative pathological samples from this child and found gene breakage of USP6, so the child was clearly diagnosed with primary ABC. However, because no fresh tumor samples were taken during the operation, the USP6 fusion gene could not be detected by using sequencing techniques.
In addition to the traditional diagnostic methods, some scholars have used a multi-disciplinary diagnostic method and a diagnostic model composed of the following variables: age, the presence of pathologic fractures, LDH (lactate dehydrogenase), ALP (alkaline phosphatase), and WBC (white blood cell) levels in order to distinguish telangiectasia osteosarcoma from ABCs. This method provides a new way of thinking about tumor diagnoses.
Selection of Treatment Methods
Treatment concepts of ABCs have evolved over the years. Different sites and different etiological causes of ABCs can show different biological behavior. Therefore, treatment methods are not always the same. Complete resection of the masses is the most ideal treatment; however, the risk of the operation is high when the tumor involves an important tissue structure. For highly vascularized tumors, a DSA and embolism can be performed before the operation but not as a non-surgical treatment alone. In children, tumors involving the growth plate can cause permanent limb deformities. Therefore, the choice of treatment should be comprehensively considered according to the location of the tumor, the relationship with the surrounding tissue, and the progress of the disease. Moreover, in view of the possible disability, a structural/functional reconstruction program should be fully evaluated and improved before operating. In our case, surgical treatment was deemed essential considering the young age, the location of the lesion involving the orbit and base of the skull, and the aggressive growth of the tumor.
ABCs that occur in the craniofacial region are more likely to have an impact on nerve function because of their special anatomical position. Most of the time, it is necessary to discuss the treatment plan with stomatology, ophthalmology, and neurosurgery. With the development of nasal endoscopy and the application of navigation technology, ABCs in the nasal cavity and paranasal sinuses are mainly treated with endoscopic resection. If the mass involves the base of the skull or important neural structures, it is rarely completely resected, which leads to tumor recurrence.
Various adjuvant treatments can be used for patients who cannot undergo surgery or patients with recurrence. The most common are PMMA (polymethylmethacrylate) bone cement, an argon beam, phenol, ethanol, cryotherapy, sclerotherapy with ethibloc or polidocanol, and systemic therapy with RANKL (receptor activator of NF-kappa-B ligand) inhibitors (denosumab) or a combination of multiple methods.
Radiation therapy is very seldom used because of the high risk of sarcomatous degeneration, but this treatment is effective for unresectable or recurrent lesions. In 2006, Kumar et al reported a case of a recurrent temporal bone ABC, in which targeted radiotherapy (30–36 Gy) proved to be effective in improving symptoms and reducing tumor volume. In 2020, Deventer et al reported chemotherapy following the EURAMOS or the Euro-Ewing 99 protocol was externally applied in 3 patients with the misdiagnosis of an ABC as a malignant bone tumor. In all 3 cases, a significant reduction of the volume of the ABC was achieved. These findings indicate that systemic chemotherapy may be justifiable when initial ABC treatment has failed. However, there is still a lack of a sound chemotherapy plan and rigorous evaluation of the efficacy of chemotherapy. In addition, the application of chemotherapy must take into account its inherent severe acute and late side effects.
Pathological Characteristics
Macroscopically, ABCs appear as a polycystic cavity that lacks an endothelial cover but is filled with blood, bone tissue, and damaged friable clots; it can also appear as a solid tumor, but this is rare. In fact, the solid variant of aneurysmal bone cyst (SVABC) is a rare subtype, which accounts for 3.4% to 7.5% of all ABCs, Histopathologically, the tumor contains bone trabeculae, stromal spindle cells, fibroblasts, histiocytes, hemosiderin-filled macrophages, capillaries, and giant cells. There are no smooth or elastic muscle fibers. Mitoses are present, sometimes in large numbers, but no atypical mitoses are observed. At the same time, reactive osteogenesis exists in the immature septa, which then turns into a network. In previous studies, more than 30% of cases showed a strongly calcified basophile fibrochondroid matrix, which is also called “blue bone.”
Prognosis and Relapse
The resection rate of ABCs is closely related to the recurrence rate. Most of the recurrent cases occur in the first year after treatment. This is usually attributed to incomplete or inadequate removal of the tumor, which was probably caused by the tumor being too close to important blood vessels and the nerve structure. In the past, the recurrence rate was observed at 10–30%. Therefore, regular follow-ups with the patient are recommended, with periodic imaging guidance to evaluate the recovery of the surgical area and the development of the tumor.
In conclusion, most ABCs occur in children, but primary ABCs in young children’s nasal cavities and paranasal sinuses are very rare. Due to the particularity of the disease site, the imaging findings of children may be very atypical and difficult to distinguish from malignant tumors. Most of the CT scans showed expansive osteolytic destruction, which could be accompanied by osteosclerosis and hyperplasia, and some cases showed characteristic “liquid–liquid level sign” on MRI. The diagnosis of the disease depends on pathology. FISH detection is an effective way to distinguish primary and secondary ABCs from other benign and malignant tumors. Regarding the choice of treatment, it is necessary to consider the incidence and involved site of the tumor and give a reconstruction plan for possible dysfunction and deformity. Endoscopic sinus surgery is the most effective method of treatment for ABCs in the nasal cavity and paranasal sinuses.
Declaration of conflicting interests The author(s) declared no potential conflicts of interest with respect to the research, authorship, and/or publication of this article.
Funding The author(s) disclosed receipt of the following financial support for the research, authorship, and/or publication of this article: This work was supported by Beijing Hospitals Authority Ascent Plan (20191201) and National Clinical Research Center for Respiratory Diseases (HXZX-20210501).
Ethics approval This article does not contain any studies with animals performed by any of the authors. The study was approved by the local ethical committee.
References
- 1. Cottalorda J, Bourelle S. Modern concepts of primary aneurysmal bone cyst. Arch Orthop Trauma Surg. 2007;127:105–114. doi:.
- 2. Mascard E, Gomez-Brouchet A, Lambot K. Bone cysts: Unicameral and aneurysmal bone cyst. J Orthop Traumatol: Surgery & Research. 2015;101:S119–S127. doi:.
- 3. Fletcher CD, Bridge JA, Hogendoorn PC, Mertens F. WHO Classification of Tumours of Soft Tissue and Bone. 2013: IARC: 305–310.
- 4. Unadkat S, Adams A, Richards P, Bajaj Y. Paediatric aneurysmal bone cyst: not as easy as ABC. J Surg Case Rep. 2018;2018. doi:.
- 5. Chen LJ, Chen WJ, Du JP. Imaging Diagnosis of Aneurysmal Bone Cyst at Rare Parts Bone. Chinese Journal of CT and MRI. 2015;13:95–98. doi:.
- 6. Ameli NO, Abbassioun K, Azod A, Saleh H. Aneurysmal Bone Cyst of the Skull. Can J Neurol Sci/J Can Sci Neurol. 1984;11:466–471. doi:.
- 7. Park HY, YangYang SK, Sheppard WL, et al. Current management of aneurysmal bone cysts. Current reviews in musculoskeletal medicine. 2016;9:435–444. doi:.
- 8. Amary MF, Ye H, Berisha F, Tirabosco R, Presneau N, FlanaganFlanagan AM. Detection of USP6 gene rearrangement in nodular fasciitis: an important diagnostic tool. Virchows Arch. 2013;463:97–98. doi:.
- 9. Panagopoulos I, Mertens F, Löfvenberg R, Mandahl N. Fusion of the COL1A1 and USP6 genes in a benign bone tumor. Cancer Genetics and Cytogenetics. 2008;180:70–73. doi:.
- 10. Vigorita VJ. Orthopaedic Pathology. 2nd ed. Lippincott Williams and Wilkins; 2008.
- 11. Oliveira AM, Perez-Atayde AR, InwardsInwards CY, et al. USP6 and CDH11 oncogenes identify the neoplastic cell in primary aneurysmal bone cysts and are absent in so-called secondary aneurysmal bone cysts. Am J Pathol. 2004;165:1773–1780. doi:.
- 12. Oliveira AM, Perez-Atayde AR, Dal Cin P, et al. Aneurysmal bone cyst variant translocations upregulate USP6 transcription by promoter swapping with the ZNF9, COL1A1, TRAP150, and OMD genes. Oncogene. 2005;24:3419–3426. doi:.
- 13. Guseva NVV, Jaber O, TanasTanas MR, et al. Anchored multiplex PCR for targeted next-generation sequencing reveals recurrent and novelUSP6fusions and upregulation ofUSP6expression in aneurysmal bone cyst. Gene Chromosome Cancer. 2017;56:266–277. doi:.
- 14. Šekoranja D, Boštjančič E, Salapura V, Mavčič B, Pižem J. Primary aneurysmal bone cyst with a novel SPARC-USP6 translocation identified by next-generation sequencing. Cancer genetics. 2018;228-229:12–16. doi:.
- 15. Blackburn PR, Davila JI, Jackson RA, et al. RNA sequencing identifies a novel USP9X‐USP6 promoter swap gene fusion in a primary aneurysmal bone cyst. Gene Chromosome Cancer. 2019;58:589–594. doi:.
- 16. Zhang L, Hwang S, Benayed R, et al. Myositis ossificans-like soft tissue aneurysmal bone cyst: a clinical, radiological, and pathological study of seven cases with COL1A1-USP6 fusion and a novel ANGPTL2-USP6 fusion. Mod Pathol 2020;33:1492–1504. .
- 17. Rădulescu R, Bădilă A, Manolescu R, Sajin M, Japie I. Aneurysmal bone cyst--clinical and morphological aspects. Romanian journal of morphology and embryology = Revue roumaine de morphologie et embryologie. 2014;55:977–981.
- 18. Yao P, Xin WH. Aneurysmal Bone Cyst of the Maxillary Sinus: A Case Report. Journal of Clinical Otorhinolaryngology Head and Neck Surgery. 2004;18:503. doi:.
- 19. Saez N, Sharma GK, Barnes CH, et al. Solid Variant of Aneurysmal Bone Cyst of the Temporal Bone. Ann Otol Rhinol Laryngol. 2018;127:285–290. doi:.
- 20. Hnenny L, Roundy N, Zherebitskiy V, Grafe M, Mansoor A, Dogan A. Giant Aneurysmal Bone Cyst of the Anterior Cranial Fossa and Paranasal Sinuses Presenting in Pregnancy: Case Report and Literature Review. J Neurol Surg Rep. 2015;76:e216–e221. doi:.
- 21. Bozbuğa M, Hikmet Turan Süslü. Aneurysmal bone cyst of the sphenoid bone extending into the ethmoid sinus, nasal cavity and orbita in a child. Turkish neurosurgery. 2009;19:172–176.
- 22. Zishan US, Pressney I, Khoo M, Saifuddin A. The differentiation between aneurysmal bone cyst and telangiectatic osteosarcoma: a clinical, radiographic and MRI study. Skeletal Radiology. 2020;49:1375–1386. doi:.
- 23. Li L, Bui MM, Zhang M, Sun X, Han G, Zhang T, et al. Validation of Fluorescence in situ Hybridization Testing of USP6 Gene Rearrangement for Diagnosis of Primary Aneurysmal Bone Cyst. Annals of clinical and laboratory science. 2019;49:590–597.
- 24. Yin J-q, Fu Y-w, Xie X-b, Cheng X-y, Yang X-y, Liu W-h, et al. Telangiectatic osteosarcoma: Outcome analyses and a diagnostic model for differentiation from aneurysmal bone cyst. Journal of bone oncology. 2018;11:10–16. doi:.
- 25. Batisse F, Schmitt A, Vendeuvre T, Herbreteau D, Bonnard C. Aneurysmal bone cyst: A 19-case series managed by percutaneous sclerotherapy. J Orthop Traumatol: Surgery & Research. 2016;102:213–216. doi:.
- 26. Palmerini E, Ruggieri P, Angelini A, et al. Denosumab in patients with aneurysmal bone cysts: A case series with preliminary results. Tumori Journal. 2018;104:344–351. doi:.
- 27. Grahneis F, Klein A, Baur-Melnyk A, et al. Aneurysmal bone cyst: A review of 65 patients. Journal of bone oncology. 2019;18:100255. doi:.
- 28. Kumar P, Singh S, Phadke RV, et al. Role of radiotherapy in a recurrent aneurysmal bone cyst of the temporal bone: case report. Neurosurgery. 2006;58:E584. discussion E584. doi:.
- 29. Deventer N, Deventer N, Gosheger G, et al. Aneurysmal bone cyst inadvertently treated with chemotherapy-A series of three cases. Pediatr Blood Cancer. 2020;67:e28638. doi:.
- 30. Sanerkin NG, Mott MG, Roylance J. An unusual intraosseous lesion with fibroblastic, osteoclastic, osteoblastic, aneurysmal and fibromyxoid elements. "Solid" variant of aneurysmal bone cyst. Cancer. 1983;51:2278–2286. doi:.
- 31. Simsek G, Saka C, Sonbay DN, Akin I, Koybasioglu F. Aneurysmal bone cyst in the middle turbinate: a case report. Ear Nose Throat J. 2013;92(6):E47–E50. doi:.
Abbreviation
ABCs: Aneurysmal bone cysts
ALP: Alkaline phosphatase
ANGPTL2: Angiopoietin-like 2
CDH11: Cadherin11
CECT: Contrast-enhanced computed tomography
CNBP: CCHC-type zinc finger nucleic acid-binding protein
COL1A1: Collagen, type I, alpha-1
CT: Computed tomography
CTNNB1: Catenin, beta-1
DNA: Deoxyribonucleic acid
DSA: Digital subtraction arteriography
EIF1: Eukaryotic translation initiation factor 1
FISH: Fluorescence in situ hybridization
FOSL2: FOS-like antigen 2
HE: Hematoxylin and eosin
IGV: Integrative Genomics Viewer
LDH: Lactate dehydrogenase
MMPs: Matrix metalloproteinases
MRI: Magnetic resonance imaging
NF-kB: Nuclear factor kappa-B
OMD: Osteomodulin
PAFAH1B1: Platelet-activating factor acetylhydrolase, isoform 1B, alpha subunit
PMMA: Polymethylmethacrylate
RANKL: Receptor activator of NF-kappa-B ligand
SEC31A: Sec31 homolog A
SPARC: Secreted protein, acidic, cysteine-rich
STAT3: Signal transducer and activator of transcription 3
SV: Structural variation
SVABC: Solid variant of aneurysmal bone cyst
THRAP3: Thyroid hormone receptor-associated protein 3
USP6: Ubiquitin-specific protease 6
USP9X: Ubiquitin-specific protease 9, X-linked
WBC: White blood cell