Introduction
Photography took off in the year 1827 with Joseph Niepce recording the first photo. Dr. Edward Angle, the father of modern-day orthodontics, utilized dental photography for better patient diagnosis and treatment planning more than a 100 years ago. There have been tremendous advances in photography equipment and techniques since then with the most significant being introduction of digital imaging technology. Photography is an invaluable aid for any dentist. It enables recording of presenting characteristics of patients prior to beginning treatment, communicating with patients, parents and dental laboratories, and recording of treatment procedures and results for every patient. Photographic records are also very useful in medico-legal cases and a large number of photographs can easily be stored on a computer negating the need for storage of other physical records like files, study models, radiographs, etc. Regulatory bodies in most countries have made storage of patient records mandatory for specified periods of time. Digital photographs can easily be stored in most versions of patient software easily at no additional cost. In the current times, a camera should be a part of every dentist’s essential equipment.
A greater number of dentists have begun to incorporate photography into routine dental practice with digital single lens reflex (DSLR) cameras being the mainstay of medical and dental imaging for several years. These cameras have been used in conjunction with specially designed macro lenses and ring flashes to produce high-quality images of the teeth. In orthodontics, there has been great emphasis on soft tissue balance and facial esthetics at treatment end. Good photographic records can help the orthodontist to assess the hard and soft tissues throughout treatment in order to achieve high-quality and stable results. Facial and dental photographs enable the clinician to correctly observe and assess the position of the lips and chin, nasolabial angle, smile consonance, and overall facial esthetics prior to starting treatment.
The number of general dental practitioners using dental photography in the UK was assessed in a study conducted by Morse et al. in 2009. The results indicated that 48% of general dentists utilized clinical photography as a routine practice. The use of photography to record dental conditions is increasing worldwide. The main disadvantage of DSLR systems lies in their design, which utilizes a system of mirrors and a pentaprism causing the camera to be large and heavy. Technological advancements over the last few years have enabled development of mirrorless cameras which are smaller and lighter than DSLR cameras. At the present time, both DSLR and mirrorless cameras are available for sale with a preferential shift toward production of mirrorless systems by prominent manufacturers. The brands of DSLR and mirrorless cameras that most dentists are familiar with are Canon (Tokyo, Japan), Nikon (Tokyo, Japan), and Sony (Tokyo, Japan). DSLR cameras are more or less similar to their older SLR (Single Lens Reflex) film counterparts, which utilize a mirror to reflect light entering the lens onto a pentaprism in order to see the image. This mirror flips out of the way when the shutter button is pressed, allowing the light to fall onto the film/sensor. The body of a DSLR camera thus is bulky and heavy due to the presence of a mirror, pentaprism and autofocus sensor that allows the photographer to compose the shot. In combination with a specialized macro lens and ring flash which are essential to capture dental images, the camera system is rather heavy and cumbersome to use. This is one of the reasons why adoption of DSLR cameras with associated lenses and ring flashes has been poor by dentists. As compared to conventional DSLR cameras, the newer mirrorless digital systems no longer utilize a mirror for reflection of light. Light entering the camera lens passes directly onto a sensor where the image can be viewed directly on the camera liquid crystal display (LCD) screen or on an electronic viewfinder. This has allowed the manufacturers to decrease the size and weight of the camera body making the process of photography easier. The purpose of this article is to highlight the recent developments in digital dental photography and compare and contrast two commonly available entry-level camera systems, DSLR and mirrorless type, for ease of use, image quality and costs, in order to make suitable conclusions which would benefit clinicians in making informed choices.
Methods
Canon camera and lens equipment was utilized in this comparative analysis as the authors have been using this brand extensively. Nikon and Sony also have similar features in their cameras.
The DSLR setup consisted of a Canon EOS 200 D II (Other names Rebel SL 3, EOS 250 D, Kiss X10) camera body, Canon 100 mm f2.8 1:1 macro lens with a Yongnuo YN14EXII ring flash for intraoral photography (Figure 1a). A Canon EOS R50 mirrorless camera body was used in conjunction with a Canon 100 mm f2.8 1:1 macro lens and ring flash for comparison. (Figure 1b). Facial pictures for both camera types were obtained with a Canon Speedlite 470EX-AI external mounted flash (Figure 2a).

Camera Comparison (1a) DSLR Camera with 100 mm Lens and Ring Flash; (1b) Mirrorless Camera with 100 mm Lens and Ring Flash.

Camera Accessories (2a) Canon Speedlite External Flash (2b) Lens adapter for use of DSLR lenses on mirrorless cameras.
A Canon mount EF-EOS R adapter was used to connect a DSLR lens with the body of the mirrorless camera (Figure 2b). A subject with a good Class I dental relation and a pleasing facial appearance was chosen for the comparison. Both extraoral and intraoral photographs were taken for the same subject using a DSLR and mirrorless setup. The comparison was limited to size and weight of the equipment and ease of use, sensor sizes, features, focusing capability, image quality, battery capacity, and costs.
Facial photos were obtained holding the camera in vertical format with the preset magnification ratio to ensure standardization. The hot shoe mounted Canon Speedlite 470EX-AI with auto bounce capability was used for all extraoral images. A black background was used to ensure full assessment of the face. For the frontal views, the orbital plane was kept parallel to the floor. Right profile views in repose and smiling were obtained keeping the Frankfurt Horizontal plane parallel to the floor. Oblique facial views were obtained keeping the patient’s sagittal plane and camera lens optical axis at an angle of 45° to one another. Extraoral and intraoral photographs were taken in the prescribed magnification ratios for both camera types. Images were taken sequentially for the same subject.
Extraoral views included frontal, right profile, and right oblique view all taken with a magnification ratio between 1:8 and 1:10 for the DSLR (Figure 3a) and mirrorless camera (Figure 3b). Intraoral views with a DSLR (Figure 4) and mirrorless (Figure 5) included frontal, right, and left buccal and upper and lower occlusal views taken with a magnification ratio of around 1:2. Intraoral images were obtained with the subject seated on a dental chair. A ring flash was used for illumination with the camera now in the horizontal format. Intraoral frontal views were obtained with a magnification ratio of 1:2. Lateral intraoral images (right and left) were obtained directly after sufficient tissue retraction with a cheek retractor and the occlusal plane in the middle of the image parallel to the lower border of the photograph. Upper occlusal photos were obtained using a magnification ratio of 1:2 with an intraoral mirror for recording the entire arch. The upper lip was kept away using a lip retractor and the patient was asked to breathe through the nose to prevent mirror fog. The camera lens optical axis was kept as vertical as feasible to the image in the mirror. Mandibular occlusal views were obtained similarly with the tongue raised, mirror placed distal to the last molars, and the patient breathing through the nose. The lens optical axis was kept as vertical as possible to the mirror image.

Facial imaging comparison between DSLR and mirrorless (3a) Facial views with a DSLR camera (3b) Facial views with a mirrorless camera.

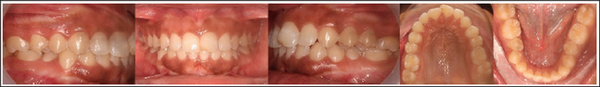
Intraoral Views with a DSLR Camera.

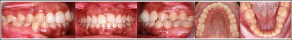
Intraoral Views with a Mirrorless Camera.
Results
The results have been divided into three sections for ease of understanding differences between both tested camera types.
Table 1. The Body Dimensions and Weight of DSLR and Mirrorless Cameras in order to Ascertain Differences between the Two.
Table 2. Sensor Types, Sizes, and Overall Image Quality between DSLR and Mirrorless Cameras.
Table 3. Overall Focus Points, Battery Capacity, Video Capability, and Cost between DSLR and Mirrorless Cameras.
Discussion
The height, width, and depth measurements for the mirrorless R50 are less in comparison to the 200D II DSLR. The lens and flash used in both systems was similar. Dentists also have to use additional equipment like cheek retractors, mirrors, and contrastors, which in turn require the operator to hold the camera equipment in one hand on occasion. The mirrorless was 74 g lighter than the 200 D II DSLR, which equates to a significant reduction in 16% of body weight making it more comfortable to hold and use. Overall, the mirrorless camera had a smaller and lighter body making it easier for dental professionals to use. However, the smaller footprint and grip in mirrorless cameras could be an issue, as the camera is not as comfortable to hold as a larger DSLR. Of greater significance is the balance of the equipment in the hands of the operator. A larger DSLR with attached macro lens and ring flash has better weight distribution than the mirrorless system which is smaller and lighter. Overall, the reduced dimensions and weight of the mirrorless system outweigh the minor disadvantages of balance and weight distribution as can be ascertained from Table 1.
The sensor is the key determinant of image quality. The larger is the sensor, better is the overall quality of the image, as the individual pixel size on the sensor is larger with better light sensitivity and color reproduction capabilities. Full frame sensors are equivalent in size to a 35 mm film camera (24 mm × 36 mm equivalent to older film sizes) and are superior to cropped sensors but require the cameras to be much larger and heavier which is a disadvantage in dental photography. Both cameras tested had APS-C (Advanced Photo System-Type C) sensors with a sensor crop factor of 1.6, which enable high-quality dental imaging. However, the mirrorless sensor utilized a superior image processing DIGIC (Digital Imaging Integrated Circuit) X engine as compared to the older DIGIC 8 in the DSLR camera sensor. The advanced technology in the mirrorless camera sensor results in faster image processing, noise reduction (minimal grains on the image), and better color reproduction abilities. For dental photography, mirrorless sensors can give slightly superior results, but the differences would be difficult to discern as provided in Table 2.
The image processing capabilities in the mirrorless sensor are superior to the older DSLR sensor. High-definition video capabilities are also better. The mirrorless camera viewfinder has a larger field of view with a higher magnification of 0.58 versus 0.54 for the DSLR making the image size similar to that seen by the naked eye. Burst shooting is also faster with the mirrorless camera. This feature is useful in situations where a subject is speaking and multiple shots of the face are required in order to assess the relationship between the lips and teeth. The mirrorless camera is also lighter and more compact as compared to the DSLR, but the differences are minimal when the macro lens and ring flash are connected. The rear LCD screen is articulated in both camera types, which is a useful feature. Th R50 mirrorless also has an electronic shutter in addition to the mechanical shutter. Silent shooting is thus made possible but will have limited use in dental photography, which uses artificial light for intra and extraoral photography. The mirrorless camera can also be used with existing DSLR lenses with the help of an adapter. This helps in minimizing equipment costs, as dentists can easily switch to mirrorless cameras using their existing DSLR lenses and flashes. Both camera types have full manual modes, which are required for dental photography. Both write data to compatible SDXC (Secure Digital Extended Capacity) cards, which have higher storage capacities. Lastly, the mirrorless system uses latest USB (Universal Serial Bus)3.2 data transfer technology versus older 2.0 for the DSLRs, which results in 10 times faster data transfer speeds giving it a distinct advantage over the older DSLR type systems.
The mirrorless camera has a total of 651 autofocus points as compared to 9 on the DSLR. The increased autofocus points enable coverage of the entire field of view ensuring an image in sharp focus. This feature is sometimes useful in extraoral photography in order to obtain sharp and crisp images.
Dental photography is mainly performed with the camera in the full manual mode. The autofocus feature should be turned off during routine dental imaging and only manual focus used. This enables the magnification ratio to be accurately set on the lens.
The operator then moves the camera forwards and backwards till the image is in sharp focus. This enables adequate depth of field, which is crucial in dental photography due to high magnification ratios as well as image standardization. In summary, the mirrorless camera system is more feature rich and technologically advanced as compared to the older DSLR type cameras.
The overall image quality between both camera types was similar. Both cameras had a similar 24-megapixel sensor resolution and gave high-quality images. Conventional DSLR cameras can take between 600 and 800 shots on a full battery charge, which is significantly higher than mirrorless cameras which use more power and can give an image output of around 250–300 shots per full battery charge. This may have significance in general, outdoor and sports photography where a large number of images are taken in a relatively short time period. In contrast, dental photography is performed in office and an output of 250 images per charge is sufficient for most clinicians. The reason for the lesser image output in mirrorless cameras is due to the electronic viewfinder and increased electronics which consume more power. The size of the battery is also smaller due to reduced dimensions of the camera body. However, video resolution of the mirrorless sensor is vastly superior to the DSLR due to the newer technological advances. Video shooting in dentistry is very useful specially to record opening and closing movements of the mouth, speech and articulation, etc. The mirrorless camera will be advantageous in such situations. Overall, the mirrorless sensors are technologically superior with enhanced video capabilities as compared to the older generation sensors on DSLR cameras.
Mirrorless cameras are slightly more expensive than cropped sensor DSLRs at the current time. However, the ability to use almost any conventional DSLR lens on a mirrorless camera with the help of a simple adapter makes the price factor more or less irrelevant. The cost of a full frame DSLR camera is much higher than entry-level mirrorless cameras with superior features. The benefits of mirrorless technology outweigh price considerations at this point in time (Table 3).
Mirrorless camera sales outnumber sales of DSLR cameras since the last few years in a ratio of 3:2. This figure is bound to increase with time. Most major manufacturers have shifted focus and research to mirrorless systems. Rapid technological developments have enabled the introduction of mirrorless cameras with superior features. Unlike the shift from film-based cameras to digital, the shift from DSLR to mirrorless is easier since the process and equipment is more or less similar. Lenses used in DSLR systems are compatible with most mirrorless cameras on use of an adapter helping to further minimize costs.
Mirrorless cameras are now also available with full frame sensors, though at much higher prices. High-quality macro lenses of fixed focal length ranging between 90 and 105 mm with a magnification ratio of 1:1 are recommended for dental photography. This specially designed close-up lens provides accurate reproduction of the face and teeth without distortion evident in zoom lenses. Ring flashes are used for intraoral photography and help to illuminate the oral cavity due to the design of the flash in front of the lens barrel. The Canon Speedlite 470EX-AI hot shoe mounted external flash is a recent introduction which is ideally suited for facial and portrait photography. The main advantage of this flash is the ability to automatically set the flash bounce angle in every situation which completely eliminates shadows around the subject. Auto Intelligent technology enables perfect exposures with every shot greatly reducing the uncertainties associated with manually setting bounce angles to prevent shadows. A small area in the office with a dark or white wall can be selected to shoot facial pictures.
Direct comparisons between DSLR and mirrorless cameras for dental photography are also few. The main advantages of shifting to mirrorless cameras are reduced size and weight, high-resolution electronic sensors, superior features like increased autofocus points, ISO range, better video capability and compatibility with existing DSLR lenses and flashes.
Conclusion
Mirrorless cameras are lighter and easier to handle during dental photography and allows for better maneuverability, especially when capturing intraoral shots.
Mirrorless cameras operate without a flipping mirror, resulting in silent shooting, which is particularly beneficial in a dental environment where noise can be disruptive and uncomfortable for patients.
Video capabilities are much superior in mirrorless cameras as compared to DSLRs.
The electronic viewfinder on mirrorless cameras provides a real-time preview of the image with exposure, white balance, and other settings before capturing the shot.
DSLRs have limited autofocus points compared to mirrorless cameras that use on-sensor phase detection autofocus (PDAF) or hybrid autofocus systems for better results.
Mirrorless cameras often offer focus peaking and manual focus assist features for better outcomes.
High-resolution sensors in mirrorless cameras enable capturing of fine details and textures intraorally.
Key Points
There is a technological shift toward mirrorless camera systems making it imperative for dentists to understand and utilize them for the benefit of their patients.
Adoption of mirrorless cameras in the dental office brings numerous advantages for dental professionals. The compact size, silent operation, and advanced features like autofocus, focus peaking, and image stabilization (in higher versions) make mirrorless cameras well-suited for dental photography. The ability to adapt a wide range of lenses and access the latest technological advancements further enhances their appeal.
By transitioning to mirrorless cameras, dentists can enjoy improved portability, efficient image capture, and enhanced image quality, ultimately benefiting both their practice and patient experience in the dental office.
Declaration of Conflicting Interest The authors declared no potential conflicts of interest with respect to the research, authorship, and/or publication of this article.
Funding The authors received no financial support for the research, authorship, and/or publication of this article.
Prasad Chitra
https://orcid.org/0000-0002-7371-0738
- 1. Gernsheim H. A concise history of photography. Courier Corporation; 1986.
- 2. Galante DL. History and current use of clinical photography in orthodontics. J Calif Dent Assoc. 2009;37:173–174.
- 3. Sandler J, Murray A. Clinical photography in an orthodontic practice environment: part 1. Orthodontic Update 2010;3:70–75.
- 4. Bengel W. Mastering digital dental photography. Quintessence; 2006.
- 5. Morse GA, Haque MS, Sharland MR, Burke FJT. The use of clinical photography by UK general dental practitioners. BDJ. 2010;208(1):E1.
- 6. Lazar R, Culic B, Gasparik C, Lazar C, Dudea D. The use of digital dental photography in an Eastern European country. Med Pharm Rep. 2022;95(3):305–310.
- 7. Zoltie T. Mirrorless cameras for medical photography: Time to switch? J Vis Commun Med. 2018;41:103–108.
- 8. Mansurov N. 2020–2021. Big leaps for Nikon and Canon Mirrorless. Retrieved July 9, 2023, from https://photographylife.com/nikon-canon-mirrorless-future
- 9. Wiszniewska A. The 7 best camera brands: Summer 2023. Retrieved July 9, 2023, from https://www.rtings.com/camera/reviews/best/brands
- 10. Mukherjee R. How a Digital Single Lens Reflex (DSLR) camera works. Retrieved July 9, 2023, from https://www.picturecorrect.com/how-a-digital-single-lens-reflex-dslr-camera-works/
- 11. Lebendig U. Case Study: Camera and Photography Industry Statistics (2023). Retrieved July 2023, from https://shotkit.com/camera-industry-stats/
- 12. Dent S. Why Nikon and Canon have given up on DSLRs. Retrieved July 2023, from https://www.engadget.com/why-nikon-and-canon-have-given-up-on-dsl-rs-133042286.html
- 13. Canon Dental Photography Guide. Retrieved July 2023 from https://fr.canon.ch/media/A5_dental_kit_LR_ENG_tcm109-1327230.pdf
- 14. Richards M. Canon Speedlite 470 EX AI flashgun review. Retrieved July 2023 from https://www.digitalcameraworld.com/reviews/canon-speedlite-470ex-ai-flashgun-review
- 15. Adorama. Mirrorless versus DSLRs. How do they compare? Retrieved July 2023 from https://www.adorama.com/alc/mirrorless-cameras-vs-dslr/