Introduction
The term Castleman disease (CD) describes a spectrum of rare disorders with characteristic histopathological features. Unicentric CD (UCD) is a benign, local hyperplasia of lymphoid tissue that was first described in 1954 by the US pathologist Benjamin Castleman as a mediastinally localized hyperplasia of lymphoid tissue []. The multicentric form (MCD) was first described in 1985 [] and may occur as a potentially life-threatening systemic disease. The complex symptomatology is mostly due to an overproduction of interleukin-6 (IL-6) or dysregulation of IL-6-related signaling pathways. From a therapeutic perspective, it is important to subdivide the so-called idiopathic MCD (iMCD) from cases that are associated with the human herpes virus 8 (HHV-8 + MCD) and/or the human immunodeficiency virus (HIV). However, iMCD is not a homogeneous entity. The clinically distinct variants and the current classification of CD are depicted in Figure 1. During recent years, international consensus guidelines for diagnosis and treatment have been developed for UCD and iMCD [-]. We herein summarize recent advances in diagnostic, treatment, and novel insights into the pathogenesis of this disease.

Fig. 1
Current classification of CD. LN, lymph node; SLE, systemic lupus erythematosus; RA, rheumatoid arthritis; HIV, human immunodeficiency virus; HHV-8, human herpes virus 8; POEMS, polyneuropathy, organomegaly, endocrinopathy, monoclonal gammopathy, and skin abnormalities; TAFRO, thrombocytopenia, anasarca, fever, reticulin fibrosis, and organomegaly. Adapted from [].
Epidemiology
All forms or variants of CD are rare. However, most estimates of incidence in the past were based on case series and were accordingly inaccurate. A specific ICD-10 diagnosis code was introduced not until 2016, and diagnostic criteria for the iMCD were published in 2017.
For UCD, the incidence in the USA has been estimated to be about 16–19 diseases per million person-years []. UCD is more common than iMCD. In a systemic review of 1,133 cases, about two-thirds were unicentric []. According to a recent study, the estimated annual incidence and prevalence of iMCD in the USA are 3.4 and 6.9 cases per million, respectively []. Interestingly, in Japan, iMCD appears to be more common than UCD, at 2.4–5.8 versus 0.6–4.3 cases per million annually []. The reason for this discrepancy remains unclear.
Unlike UCD and iMCD, HHV-8 + MCD usually occurs with concomitant HIV infection. Incidence and prevalence therefore closely follow the HIV pandemic. Within the British HIV population, the incidence has been estimated at 4.3 cases per 10,000 observation years []. Without HIV infection, HHV-8 + MCD is rather rare. However, the incidence and prevalence of this CD form varies widely by region and follows the spreading patterns of HHV-8.
While CD may occur in all age-groups, UCD patients tend to be younger than iMCD patients. In a large review, the average age at diagnosis was 34 versus 48 years []. There seems to be a preponderance for women in UCD but not in iMCD. In contrast, HHV-8 + MCD affects almost exclusively men in Western countries, in parallel to the gender distribution within the HIV infected population in these regions. If affected, children are most likely to develop UCD [, ].
Etiology
To date, little is known about factors that may cause UCD or iMCD. However, patients with UCD may be at increased risk for developing some rare diseases, including paraneoplastic pemphigus, bronchiolitis obliterans, amyloidosis, as well as neoplasms such as follicular dendritic cells (FDCs) sarcoma and lymphoma [].
In several cases of UCD and in a small proportion of iMCD cases, clonal expansions of stromal cells were identified [-]. It was speculated that in iMCD, the polyclonal lymphoproliferation and hypercytokinemia may be caused by either autoinflammatory, paraneoplastic, or unidentified viral infections []. Recent studies suggest that iMCD is a heterogeneous disease, sharing features of both autoimmunity and neoplasia []. In rare cases of the so-called POEMS-associated MCD, the disease is probably driven by a monoclonal plasma cell disease. There is no known genetic predisposition for any CD variant. Of 342 patients, none had a family history of CD []. There is also no clear association with specific ethnicities.
In HHV-8 + MCD, the human herpes virus-8 that is also known as “Kaposi’s sarcoma-associated herpes virus” is the cause of the disease. Beside HHV-8 infection, however, a cellular immunodeficiency appears as a prerequisite in these cases.
Pathogenesis
While the different forms and variants share several histomorphological characteristics, the pathogenesis is very heterogeneous. Consequently, CD is interpreted to represent a clinicopathological end point of various pathomechanisms [].
UCD
UCD is a benign, localized hyperplasia of lymphoid tissue, originally described as “giant lymph node hyperplasia.” It is likely that a clonal process is present in many cases, in which FDC/stromal cells are involved [, ]. In very rare cases, UCD may progress to FDC sarcoma. Comprehensive studies failed to identify an association with viral infections []. Studies of the transcriptome in CD tissue revealed expression and upregulation of markers for FDC, angiogenesis factors, extracellular matrix remodeling factors, complement components, and markers for germinal center activation [].
Idiopathic MCD
iMCD tissue shows upregulation of IL-6, IL-2, plasma cell differentiation, FDC markers, vascular endothelial growth factor (VEGF), and mTORC1 pathway genes compared with UCD and controls []. Proteomic profiling analyses also suggest that iMCD is a heterogeneous disease, spanning the spectrum from autoimmunity to neoplasia []. Compared to UCD, MCD is a potentially life-threatening systemic disease whose complex symptomatology is due, at least in part, to cytokine dysregulation or overproduction of mainly IL-6 []. IL-6 is a multifunctional cytokine involved in inflammation, immune responses, and hematopoiesis. Various causes for the IL-6 overproduction and dysregulation are discussed in iMCD. Candidate processes include uncontrolled infection (pathogen hypothesis), autoantibodies, or autoreactive T cells in conjunction with predisposing germline mutations (autoimmune hypothesis), germline mutations in genes regulating inflammation (autoinflammatory hypothesis), and/or somatic mutations in monoclonal lymph node cells leading to ectopic cytokine secretion (paraneoplastic hypothesis) [].
During recent years, however, it has also become clear that other signaling molecules and proinflammatory cytokines are involved in addition to IL-6, including VEGF, tumor necrosis factor alpha, and various interleukins (e.g., IL-1, IL-5, IL-8). In particular, the observation that IL-6 is not elevated in many iMCD cases and that blocking this cytokine is often ineffective has led to the search for alternative pathomechanisms [, -]. Recent data suggest that alternative or downstream signaling pathways are involved in those cases that are refractory to IL-6 blockade. In particular, JAK/STAT and PI3K/Akt/mTOR, the two major signaling cascades for which perturbations are discussed in iMCD, may provide therapeutic options.
JAK/STAT is an important signaling pathway through which IL-6 exerts its effects intracellularly. The components responsible for signal transduction are the receptor-associated Janus kinases (JAK), which activate the so-called signal transducers and activators of transcription (STAT) proteins. Several studies have recently indicated a dysregulation of the JAK-STAT pathway in iMCD. This pathway could potentially be blocked by, for example, ruxolitinib, a JAK1/2 inhibitor approved for myelofibrosis and polycythemia vera [, ].
Mammalian target of rapamycin (mTOR) is a cellular serine-threonine kinase belonging to the superfamily of phosphatidylinositol 3 kinases (PI3K), which is mainly located in the cell plasma as part of a protein complex. Activation of mTOR stimulates the biosynthesis of other proteins, thus influencing cell growth, proliferation, angiogenesis, and apoptosis. Genetic alterations and increased activities of this pathway have been demonstrated in various tumor entities. In 2019, this was shown for the first time in iMCD []. Of note, the magnitude of activation was comparable to autoimmune lymphoproliferative syndrome, a disease caused by mTOR hyperactivation that responds to treatment with the mTOR inhibitor sirolimus []. Moreover, a type I interferon (IFN-I) response was identified as a common gene signature upregulated during flares in severe iMCD cases []. There was a positive correlation between the IFN-I response genes and mTOR gene signature in classical monocytes, as well as increased mTOR activation upon in vitro stimulation with IFN-I, which may be abrogated with either mTOR or JAK1/2 inhibition [].
HHV-8 + MCD
HHV-8 is a γ-herpesvirus that may infect a variety of cells, including endothelial cells, B cells, and antigen-presenting cells. In addition to HHV-8 + MCD, HHV-8 is primarily involved in the development of Kaposi’s sarcoma (KS), as well as the rare primary effusion lymphomas. Similar to the Epstein-Barr virus (EBV), the most closely related γ-herpesvirus, HHV-8 exhibits the latent and lytic phases characteristic of all herpesviruses. HHV-8 can induce the production of a viral interleukin (vIL-6). In contrast to human IL-6, vIL-6 only needs to bind to one of the two IL-6 receptor subunits to exert its effects [, ]. It therefore has a much broader spectrum of target cells and thus probably induces the “cytokine storms” that are characteristic for HHV-8 + MCD. The infected cells are mainly plasma cells or plasmablasts localized in the mantle zone of lymphoid follicles. However, the clinic is not explained by vIL-6 alone []; human cytokines are also elevated in HHV-8 + MCD. It is likely that HHV-8 not only induces the expression of human IL-6 but also IL-10 and tumor necrosis factor, which are elevated in close association with HHV-8 plasma viral load [].
In immunocompetent individuals, infection with HHV-8 is usually asymptomatic, and very few people develop HHV-8 + MCD. Of note, the disease is much less common than KS, even in HIV infected patients with severe immunodeficiency []. A severe immunodeficiency, as measured by absolute or relative CD4 T-cell count, is not a prerequisite for HHV-8 + MCD. In a study of 52 cases, the average CD4 cell count was 287/µL, much higher than in most AIDS-defining diseases []. In addition, almost half of the cases had a HIV RNA below the limit of detection. Numerous studies in recent years have focused on the virologic and immunologic differences between KS and MCD [-]. In KS, the majority of tumor cells express only a limited repertoire of latent viral-encoded genes, whereas in HHV-8 + MCD, a substantial proportion of infected plasmablasts also express vIL-6 and a number of lytic viral genes. Plasma HHV-8 viral load is almost always present in untreated HHV-8 + MCD and is much higher than in KS []. Unlike KS, HHV-8 + MCD is not associated with a deficiency of HHV-8-specific CD8-cells or a limitation in their functional profile []. Newer data indicate a crucial role of invariant natural killer T cells (iNKT cells). This specific T-lymphocyte population possesses properties of both innate and acquired immune defenses and is essential for the control of, i.e., EBV-infected B cells. In HHV-8 + MCD, numerical and functional alterations of iNKT cells were detected for the first time in 2017. These alterations appeared to be independent of HIV infection [].
Histopathology
The enlarged lymph nodes in CD show a spectrum of characteristic but variable histopathological features. The five major microscopic findings listed in the main criteria of iMCD are (1) atrophic germinal centers, (2) FDC prominence, (3) increased vascularity, (4) hyperplastic germinal centers, and (5) plasmocytosis. However, these features may display a broad spectrum in their expression and may show considerable overlap between subtypes [].
Since the 1970s, a distinction has been made between a hyaline vascular subtype (more recently also called hypervascular) and a plasma cell subtype []. Mixed patterns are common. In UCD, a hyaline vascular subtype is almost always present; in iMCD, the plasma cell subtype is more common. However, pathological subtyping remains of limited value. In iMCD, histological subtype correlates neither with treatment response to IL-6 blockade [] nor with prognosis []. Moreover, histopathologic findings are poorly reproducible. In a review of 79 cases evaluated by three independent expert panels, only 18 (23%) were assigned to the same iMCD subtype by all three panels [].
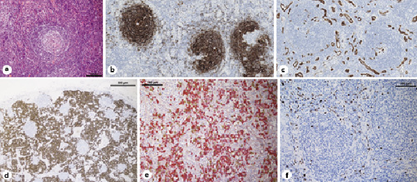
In the hyaline vascular variant, the picture is dominated by atrophic and regressed germinal centers interspersed with hyalinized blood vessels, as well as a prominence of often dysplastic FDCs. The expanded mantle zone shows an onion skin-like appearance that is a result of mantle-zone lymphocytes lining up along FDC meshworks around the atrophic germinal centers (see Fig. 2a–c). The plasma cell variant is characterized by hyperplastic germinal centers and by profuse plasmocytosis; the FDCs and lymph node architecture are normal or preserved (Fig. 2d, e).

Fig. 2
a iMCD (H&E staining, ×200 magnification). Regressed germinal center (GC) with characteristic “lollipop” phenomenon of radially penetrating blood vessels and “onion skinning” created by expanded mantle zones with concentrically arranged lymphocytes around the regressed GC. b iMCD, another patient (CD23 antibody, immunohistochemistry, ×200 magnification). Vascular thickening in the germinal centers. Again, onion-like layers of the FDCs in the germinal center. c iMCD (CD34 antibody, immunohistochemistry, ×100 magnification). Significant increase in high endothelial venules with the interfollicular area (possibly VEGF-induced). d, e Plasmacytic (PC) variant of iMCD with polyclonal plasmacytosis, demonstrated by immunohistochemistry for CD138 (×50 magnification, left) and double staining for kappa and lambda light chains (×200 magnification, right, kappa: red, lambda: brown). f HHV-8 + MCD (×200 magnification). Nuclear immunostaining for LANA-1 antigen in small lymphocytes in the lymph node. Note the regressed GC with “onion skinning” of the mantle zone.
In HHV-8 + MCD, where a plasmocytic-plasmablastic picture is almost always present, LANA-1 staining provides evidence of HHV-8 and usually allows differentiation from HIV-associated lymphadenopathy (Fig. 2f). Those B-cells infected with HHV-8 proliferate as large cells known as plasmablasts. Of note, it is not uncommon that in HHV-8 + MCD, KS is found simultaneously within the same lymph node.
Molecular Genetics and Cytogenetics
Recently, numerous genetic abnormalities associated with UCD and iMCD have been described. However, these changes were found in only a small proportion, and a basic understanding of the biological mechanisms underlying this disease process is still lacking. In UCD, a clonal process has been demonstrated in at least some cases [], and dysplastic stromal cells have long been considered the most likely cells of origin []. Next-generation sequencing analyses detected somatic mutations of platelet-derived growth factor receptor β in 7/71 UCD cases, which are thought to confer proliferation and survival advantages to stromal cells []. In a study of iMCD, point mutations in the NCOA4 gene were found in 5 of 22 cases. NCOA4, also known as androgen receptor-associated protein 70 (ARA70), is a co-activator for a number of nuclear receptors. NCOA4 mutations appear to be highly specific for iMCD []. The authors of a recent literature review concluded that genes affecting chromatin organization are more commonly observed in iMCD, while abnormalities within mitogen-activated protein kinase (MAPK) and interleukin signaling pathways are more common in UCD [].
Staging and Severity
UCD is defined as a solitary enlargement of a lymph node or a few lymph nodes within a lymph node station. General symptoms are rare []. If multiple lymph nodes or stations are involved, a MCD can be assumed. However, it has become obvious that intermediate cases may also exist, namely, UCD cases with inflammatory symptoms as well as MCD cases with only a few stations affected []. The latter often have enlarged lymph nodes in two to three adjacent lymph node stations but do not have sufficient clinical symptoms and laboratory abnormalities to meet the full diagnostic criteria of iMCD. These intermediate cases were tentatively described as “regional or oligocentric” CD [].
Compared to UCD, iMCD is more severe. In a longitudinal analysis, it was shown that following the first year of diagnosis, nearly 60% of patients with iMCD were hospitalized, and 54% had visited the emergency room []. From a therapeutical perspective, a distinction should be made between “severe” and “nonsevere” iMCD []. This is based on performance status and the extent of organ dysfunction (see below). There is no staging system for HHV-8 + MCD to date, although some experts also distinguish between severe and mild cases [].
Diagnosis
Histopathologic examination of an extirpated lymph node is mandatory for definitive diagnosis of CD; a biopsy is usually not sufficient. Diagnostic guidelines are available for both UCD and iMCD [, ]. Imaging (computed tomography scans of the neck, thorax, and abdomen/pelvis or PET-CT) as well as laboratory tests are necessary to differentiate UCD from MCD []. A recommended diagnostic workup for MCD is shown in Table 1.
For iMCD, consensus diagnostic criteria were defined for the first time in 2017 []. They are shown in Table 2 and include, in addition to definite lymph node changes, at least 2 of 11 clinical or laboratory “minor” criteria. Of note, numerous other diseases must be excluded whose lymph node histology may show “Castleman-like” features []. These diseases not only include, among others, autoimmune diseases such as lupus erythematodes or rheumatic diseases and sarcoidosis but also malignant lymphomas and infections such as EBV, HIV, and tuberculosis. In some cases, a clear differentiation may be impossible. In particular, the differentiation from IgG4-related disease is challenging since Ig4 elevations also occur in iMCD and numerous clinical parallels can be seen [, ]. CD should also always be considered in the differential diagnosis of hemophagocytic lymphohistiocytosis and other inflammatory syndromes.
For HHV-8 + MCD, there are no generally accepted diagnostic criteria to date. In the opinion of many experts, the triad of histological findings, B symptoms, and detectable HHV-8 viremia is sufficient []. Many patients may also suffer from KS which can be found in the same lymph node. Interestingly, an HHV-8-associated inflammatory syndrome has been described in which the Castleman-type changes in the lymph node are absent and which is interpreted as a CD precursor stage [].
Laboratory Findings
Laboratory parameters include serologies for HIV and HHV-8. In addition to albumin, liver and kidney function, a complete blood count and inflammatory parameters (CRP, ESR, fibrinogen, immunoglobulins) should be examined. They are not only useful to differentiate UCD from iMCD but also to monitor the treatment response []. IL-6 and VEGF often correlate with other laboratory parameters []. However, in a prospective study, cytokines were not associated with response to IL-6 blockade but rather a score of CRP, fibrinogen, hemoglobin, and IgG []. If not available in clinical routine, cytokine measurements appear therefore dispensable. VEGF may be useful to elicit evidence for POEMS-associated MCD. For HHV-8 + MCD, quantitative measurement of HHV-8 viremia is an important parameter to assess disease activity along with CRP [].
Apparative Diagnostics
Computed tomography scans of the neck, thorax, and abdomen/pelvis should be used to differentiate UCD from MCD. PET-CT is also suitable, showing lymphadenopathy with a predominantly peripheral distribution, relatively symmetric, only moderately hypermetabolic, and nonconfluent structures [, ]. To reduce radiation exposure, readily accessible lymph nodes can be monitored sonographically before therapy and during the course. The same applies to liver and spleen size. Current guidelines recommend to consider a bone marrow biopsy of all patients with suspected iMCD to evaluate for malignancy and POEMS-associated MCD [].
Prognosis and Predictive Factors
In UCD, the prognosis is good. According to a systematic review, 94% of 278 UCD cases underwent primary surgery, and disease-free survival (DFS) at 3 years was 90%. After 10 years, only 13/265 (5%) of patients had died from the disease []. According to the same review, in 126 MCD cases, 3-year DFS was significantly worse at 56% []. A Japanese study of 342 patients with MCD diagnosed during the years 2005–2011 found similar survival rates of 59%, 14%, and 20% at 3, 5, and 10 years, respectively []. However, it can be expected that the prognosis of MCD has improved significantly with newer treatment options during recent years.
In a study combining data from the USA and China, a risk score was determined from five independent predictors of overall survival (age over 40 years, plasma cell subtype, hepatosplenomegaly, hemoglobin <8 g/dL, and pleural effusion) in a total of 176 iMCD patients []. The predictive value was validated in an independent group of 197 additional patients. The 5-year overall survival at low, intermediate, and high risk was 97%, 72%, and 20%, respectively.
For HHV-8 + MCD, prognosis tends to be worse than those with iMCD []. In a large monocentric study from France [], 2-year overall survival was 78% with HHV-8 + MCD, compared to 100% with iMCD. However, prognosis of HHV-8 + MCD is also expected to improve significantly with current antiretroviral therapies and with rituximab [, ].
Clinical Spectrum
The clinical spectrum of CD is broad. UCD is mostly presenting as a solitary, indolent lymph node swelling. In contrast, the clinic of iMCD ranges from mild constitutional symptoms to multiorgan failure. At least two clinical variants of HHV-8-negative MCD have recently been described, including TAFRO syndrome and POEMS-associated MCD (for further details of both entities see below). HHV-8 + MCD often manifests as a severe disease with a relapsing course that may be fatal if left untreated.
UCD
UCD is often an incidental finding. Symptoms, if present, are usually explained by the localization or compression of not only nerves or vessels but also airways or ureters []. The involved lymph node is typically larger than the enlarged lymph nodes seen in MCD. Although all lymph node regions of the body may be affected, UCD tends to be a solitary mass in the mediastinum. Of note, constitutional symptoms such as weight loss, fever, or fatigue occur in 10–20% of cases [].
Idiopathic MCD
The clinic of iMCD, which is quite variable in terms of severity, course, and symptoms, is explained in part by the multiple effects of the signaling molecules and pathways involved [, ]. IL-6 and other proinflammatory cytokines induce proliferation of B cells and plasma cells, secretion of VEGFs, and angiogenesis, among others. Consequently, there is a substantial variability in the number of enlarged lymph node regions and the clinical spectrum ranges from mild constitutional symptoms to life-threatening courses with anasarca and multiorgan failure.
The most important symptoms representing diagnostic criteria are depicted in Table 1. In a systemic review of 416 cases, lymph node swelling (65%), anemia (57%), and fever (51%) were the most common symptoms []. Symptomatology is often less pronounced in iMCD as in HHV-8 + MCD. The course is less alternating, and CRP may be lower. Edema and effusions and blood count changes (anemia, both thrombocytosis and thrombocytopenia) are common. In some cases, a pronounced fatigue syndrome may be the leading symptom. Hemangiomatous skin lesions also occur, resembling cherry-sized hemangiomas during active phases of the disease, and their size can fluctuate remarkably (“cherry hemangiomatosis”). Polyneuropathies are uncommon [] and should raise suspicion for POEMS-associated MCD.
It was recently shown that iMCD is associated with significant comorbidities, which may limit overall prognosis []. In a cohort of 191 patients, the annual prevalence of comorbidities was 18.2% for non-hematologic malignancies, 6.3% for hematologic malignancies, 5.8% for thromboses, 5.7% for renal failure, and 5.2% for respiratory failure.
TAFRO Syndrome
A proportion of patients present with a so-called TAFRO syndrome, a recently defined variant of iMCD that is often aggressive. TAFRO syndrome is defined as a symptom complex of thrombocytopenia, ascites, fever, reticular fibrosis in the bone marrow, renal insufficiency, and organomegaly in the presence of normal y-globulin [, ]. The largest cohorts of TAFRO syndrome come from Japan. D-dimers are often additionally elevated. Prognosis is relatively poor, especially in older patients over 60 years of age [].
POEMS-Associated MCD
Rarely, MCD is associated with the POEMS syndrome, a clinical picture consisting of peripheral neuropathy, organomegaly, endocrinopathy, monoclonal gammopathy, and skin changes. An important clinical feature is peripheral polyneuropathy, which is probably caused by VEGF and is often absent in iMCD. Although often milder than in POEMS syndrome alone [], neuropathic symptoms in CD should raise the suspicion of a POEMS-associated MCD. This also applies to cutaneous hyperpigmentations, which, however, should be distinguished from cherry hemangiomatosis that are associated with iMCD.
HHV-8 + MCD
Typically, this disease progresses in “flares” that last for several days, during which patients are often highly febrile and severely ill []. The flares are followed by oligosymptomatic and even asymptomatic periods of several weeks. During flares, there is almost always a marked B-symptomatology with fever, night sweats, and weight loss, as well as profound weakness and malaise. The C-reactive protein (CRP) is usually above 100 mg/L, and the spleen is always enlarged. Hepatomegaly, respiratory symptoms, and a tendency to edema and effusions with hypalbuminemia are also found in the majority of cases []. A severe anemia may be accompanied by severe thrombocytopenia. Interestingly, symptomatology usually fluctuates remarkably. Without any intervention and within a few days, fever, lymphadenopathy, and inflammatory parameters may decrease dramatically. With increasing duration of the disease, the frequency of flares can increase. Self-limiting courses are rare. Overall, there is a significantly increased risk of malignant lymphomas, including mostly rather rare subtypes such as plasmoblastic lymphomas or so-called primary effusion lymphomas.
Treatment
Given the divergent pathogenesis, manifestations, and courses, different treatment strategies are needed for UCD, iMCD, POEMS-associated MCD, and HHV-8 + MCD. Consensus guidelines exist for iMCD [] and UCD [].
UCD
Complete surgical excision will usually eliminate any systemic symptomatology and laboratory abnormalities, if present [, ]. Surgery is also successful in pediatric cases []. Relapses are rather rare but can become challenging. This also applies to cases in which the tumor is not completely resectable or when the surgical risk appears too high. Radiation therapy may be useful in these rare cases []. Systemic therapy is rarely necessary. If a preexisting inflammatory component persists after resection, siltuximab, which is approved for iMCD (see below), should be considered. For compression syndromes in unresectable cases, beside radiation, feasible approaches include rituximab, steroids, and embolization []. Of note, UCD can remain stable or grow very slowly over time. In one case series, 11 of 13 asymptomatic UCD cases remained stable for up to 17 years without any intervention []. According to guidelines, a careful watch-and-wait approach can be adopted in patients with normal laboratory values who are asymptomatic [].
Idiopathic MCD
Unlike UCD, iMCD is a systemic disease with potentially life-threatening symptomatology. Surgical intervention is not recommended. Treatment options include blockade of the IL-6 pathway using monoclonal antibodies and cytotoxic elimination of the cells responsible for cytokine overproduction, primarily rituximab with and without cytostatic agents. Immunomodulatory therapies – especially steroids – are also used. In 2018, the first consensus-based recommendations for iMCD therapy were published by an international working group []. They were based on the experience of 344 patients treated with 479 therapies and took into account disease severity, prior therapies, and response. The latter is primarily to be assessed clinically but also by imaging and laboratory chemistry via inflammatory response. Of note, about half of the cases do not respond to the three recommended first-line options siltuximab, tocilizumab, or rituximab.
Siltuximab is a monoclonal antibody against human IL-6 that was approved in 2013 for iMCD in Western countries. It is recommended first-line for all forms of iMCD. In the pivotal trial, 79 patients with iMCD were treated with either siltuximab or placebo []. The primary end point (sustained response over at least 18 weeks in terms of tumor size and improvement in a clinical symptom score) was met in 34% in the verum group versus 0% on placebo. The response rates are greater with elevated inflammatory parameters, whereas IL-6 levels seem to play a limited role []. Siltuximab is usually well tolerated, even during years of therapy []. The main caveat is the intravenous route of administration, requiring infusions (11 mg/kg i.v.) every 3 weeks.
Depending on the severity of iMCD, siltuximab is combined with steroids during the first weeks. In mild cases, prednisone 1–2 mg/kg (4–8 weeks, then tapering off) is recommended. Severe cases should be promptly started on a high-dose steroid regimen with methylprednisolone 2 mg/kg or even higher. Severe iMCD can be assumed when at least two of 5 factors are present: an ECOG score ≥2, signs of organ dysfunction such as renal failure (GFR < 30), anasarca and/or ascites, severe anemia (Hb of <8 mg/dL), and pulmonary involvement or interstitial pneumonia []. Steroid monotherapy is only appropriate in mild cases with low CRP [].
If siltuximab is not available or in the case of nonresponse, tocilizumab or rituximab may be considered. Tocilizumab is an antibody against the IL-6 receptor that is approved in Europe for rheumatoid arthritis. In Japan, it is also approved for iMCD (8 mg/kg every 2 weeks i.v.), and in current guidelines, it is also recommended first-line, albeit with weaker evidence than with siltuximab []. The choice between both drugs is currently more dependent on indication and access within countries as no head-to-head trials have been performed to compare efficacy []. It is of note that there are some patients who respond to IL-6 receptor blockade with tocilizumab but not to IL-6 blockade with siltuximab (and vice versa).
The monoclonal CD20 antibody rituximab (375 mg/m2 per week, 4–8 doses) is considered to be an alternative first-line drug in mild cases, but the response in iMCD appears to be less impressive as in HHV-8 + MCD []. However, durable remissions do occur, and the definitive nature of this approach often appears more attractive than lifelong infusion therapy of IL-6 blocking agents.
If the above three options are not successful, individualized attempts with other cytotoxic therapies or immunomodulators such as thalidomide or lenalidomide should be considered, preferably in consultation with an MCD expert. In a small phase II study with the TCP regimen (thalidomide 100 mg daily for 2 years; oral cyclophosphamide 300 mg/m2 weekly for 1 year; prednisone 1 mg/kg twice a week for 1 year), 12 of 25 patients (48%) achieved a durable tumor and symptomatic response for at least 24 weeks [].
During recent years, several gene enrichment studies found an activation of mTOR and JAK/STAT in iMCD, identifying these pathways as attractive therapeutic targets, especially in those cases that are refractory to IL-6 blockade [, -]. Some promising clinical case reports have already been published for the mTOR inhibitor sirolimus and the JAK inhibitor ruxolitinib [, ]. In a small case series of three IL-6-blockade refractory iMCD cases, administration of sirolimus significantly attenuated CD8+ T-cell activation and decreased VEGF levels. Sirolimus induced clinical benefit responses in all 3 patients with durable and ongoing remissions of 66, 19, and 19 months []. In the USA, a prospective trial on sirolimus is underway.
HHV-8 + MCD
In HHV-8 + MCD, siltuximab and tocilizumab have not yet been tested because they are unlikely to bind to viral IL-6. There are no international consensus guidelines for HHV-8 + MCD. However, rituximab, which likely reduces target cells of HHV-8, has been particularly useful as a specific therapy (375 mg/m2 per week, 4 doses). With HHV-8 negativity (>90%), durable complete remissions are often observed. In several cohorts, overall survival and DFS improved significantly with rituximab compared with historical controls [, ]. In a cohort of 52 cases, survival was also significantly improved with rituximab compared with other therapies []. Cytokines such as IL-5, IL-6, and IL-10, as well as CRP, immunoglobulins, and HHV-8 viral load, decrease significantly []. Moreover, lymphomas are less common with rituximab []. HHV-8-PCR and CRP are appropriate follow-up parameters that should be monitored regularly. In case of relapses, readministration of rituximab is possible []. Besides prolonged B-cell depletion, the main serious adverse effect of rituximab is reactivation or progression of a concomitant KS, which can be expected in about one-third of cases. In these settings, the combination with KS-active cytostatic agents such as liposomal doxorubicin (20 mg/m2, i.v. every 2–3 weeks) may be useful. In severe cases, combinations with oral etoposide 100 mg/m2 or CHOP may also be considered []. In those cases that are associated with HIV infection, sufficient antiretroviral therapy is a prerequisite for any successful treatment. Other antiretroviral agents (valganciclovir) or immunomodulatory approaches (thalidomide) are of limited value in HHV-8 + MCD in the rituximab era.
POEMS-Associated MCD
Facing this rare form of MCD, it seems more reasonable to target the monoclonal plasma cell proliferation. Siltuximab may be an option in cases with high IL-6 levels. Therapy includes not only agents such as melphalan and dexamethasone but also lenalidomide and bortezomib. Response to thalidomide plus dexamethasone appears to be better than in isolated POEMS syndrome []. An autologous stem cell transplantation may also be considered in younger patients under 65 years of age, especially in patients with osteosclerotic lesions or peripheral neuropathy []. However, controlled studies are lacking.
Follow-Up
There are no specific recommendations for follow-up examinations. UCD is considered cured after surgery, and further examinations can be omitted if the patient is symptom-free. In the case of clinical remission of iMCD or HHV-8 + MCD, three-monthly controls of blood count, CRP, and liver/kidney parameters are recommended, as well as sonographies (lymph nodes, spleen, liver).
Conclusion
With the establishment of guidelines for diagnosis and therapy, the treatment of CD has recently made great progress. However, it has also become clear that iMCD in particular is a heterogeneous clinical entity in which IL-6 overproduction is not always present. Other or downstream signaling pathways may also be affected. Studies on inhibitors of mTOR and JAK/STAT in cases refractory to IL-6 blockade are underway but remain challenging due to the rarity of the disease. If ever possible, patients should be included in ACCELERATE, an ongoing international registry study established in 2016 [].
Conflict of Interest Statement
Christian Hoffmann has received consultancy or speaker fees from AstraZeneca, EUSA Pharma, Gilead Sciences, Janssen-Cilag, MSD, Theratechnologies, and ViiV Healthcare. Marcus Hentrich has received consultancy or speaker fees from Amgen, Celgene, EUSA Pharma, Gilead Sciences, Janssen, Sanofi, and Takeda. Markus Tiemann has received consultancy and speaker fees from EUSA Pharma, Roche, and Celgene. Florian Weber has received consultancy or speaker fees from EUSA Pharma and Celgene/BMS. Andreas Rosenwald has nothing to disclose. Wolfgang Willenbacher has received consultancy or speaker fees from EUSA Pharm. Kai Hübel has received consultancy or speaker fees from Celgene/BMS, EUSA Pharma, Gilead Sciences, Hexal, Incyte, Novartis, and Roche.
Funding Sources
The authors received no funding for conception or writing of this article.
Author Contributions
Christian Hoffmann wrote the manuscript with substantial contributions and support from Marcus Hentrich, Markus Tiemann, Andreas Rosenwald, Florian Weber, Wolfgang Willenbacher, and Kai Hübel. Markus Tiemann and Florian Weber provided the histopathological figures and legends; all the authors revised the manuscript critically for important intellectual content and have approved the final version of the manuscript.
References
- 1. Castleman B, Towne VW. Case records of the Massachusetts General Hospital; weekly clinicopathological exercises. <X00_Journal>N Engl J Med</X00_Journal>. 1954 Sep 2;251(10):396–400.
- 2. Kessler E. Multicentric giant lymph node hyperplasia. A report of seven cases. <X00_Journal>Cancer</X00_Journal>. 1985 Nov 15;56(10):2446–51.
- 3. Munshi NC, Mehra M, van de Velde H, Desai A, Potluri R, Vermeulen J. Use of a claims database to characterize and estimate the incidence rate for Castleman disease. <X00_Journal>Leuk Lymphoma</X00_Journal>. 2015 May;56(5):1252–60.
- 4. Haap M, Wiefels J, Horger M, Hoyer A, Müssig K. Clinical, laboratory and imaging findings in Castleman’s disease – The subtype decides. <X00_Journal>Blood Rev</X00_Journal>. 2018 May;32(3):225–34.
- 5. Mukherjee S, Martin R, Sande B, Paige JS, Fajgenbaum DC. Epidemiology and treatment patterns of idiopathic multicentric Castleman disease in the era of IL-6 directed therapy. <X00_Journal>Blood Adv</X00_Journal>. 2022 Jan 25;6(2):359–67.
- 6. Masaki Y, Kawabata H, Fujimoto S, Kawano M, Iwaki N, Kotani T, et al. Epidemiological analysis of multicentric and unicentric Castleman disease and TAFRO syndrome in Japan. <X00_Journal>J Clin Exp Hematop</X00_Journal>. 2019 Dec 22;59(4):175–8.
- 7. Powles T, Stebbing J, Bazeos A, Hatzimichael E, Mandalia S, Nelson M, et al. The role of immune suppression and HHV-8 in the increasing incidence of HIV-associated multicentric Castleman’s disease. <X00_Journal>Ann Oncol</X00_Journal>. 2009 Apr;20(4):775–9.
- 8. Parez N, Bader-Meunier B, Roy CC, Dommergues JP. Paediatric Castleman disease: report of seven cases and review of the literature. <X00_Journal>Eur J Pediatr</X00_Journal>. 1999 Aug;158(8):631–7.
- 9. Chisholm KM, Fleming MD. Histologic and laboratory characteristics of symptomatic and asymptomatic Castleman disease in the pediatric population. <X00_Journal>Am J Clin Pathol</X00_Journal>. 2020 May 5;153(6):821–32.
- 10. Pauwels P, Dal Cin P, Vlasveld LT, Aleva RM, van Erp WF, Jones D. A chromosomal abnormality in hyaline vascular Castleman’s disease: evidence for clonal proliferation of dysplastic stromal cells. <X00_Journal>Am J Surg Pathol</X00_Journal>. 2000 Jun;24(6):882–8.
- 11. Chang KC, Wang YC, Hung LY, Huang WT, Tsou JH, M Jones D, et al. Monoclonality and cytogenetic abnormalities in hyaline vascular Castleman disease. <X00_Journal>Mod Pathol</X00_Journal>. 2014 Jun;27(6):823–31.
- 12. Goodman AM, Jeong AR, Phillips A, Wang HY, Sokol ES, Cohen PR, et al. Novel somatic alterations in unicentric and idiopathic multicentric Castleman disease. <X00_Journal>Eur J Haematol</X00_Journal>. 2021 Dec;107(6):642–9.
- 13. Fajgenbaum DC, van Rhee F, Nabel CS. HHV-8-negative, idiopathic multicentric Castleman disease: novel insights into biology, pathogenesis, and therapy. <X00_Journal>Blood</X00_Journal>. 2014 May 8;123(19):2924–33.
- 14. Pierson SK, Shenoy S, Oromendia AB, Gorzewski AM, Langan Pai RA, Nabel CS, et al. Discovery and validation of a novel subgroup and therapeutic target in idiopathic multicentric Castleman disease. <X00_Journal>Blood Adv</X00_Journal>. 2021 Sep 14;5(17):3445–56.
- 15. Murakami M, Johkoh T, Hayashi S, Ohshima S, Mizuki M, Nakatsuka SI, et al. Clinicopathologic characteristics of 342 patients with multicentric Castleman disease in Japan. <X00_Journal>Mod Rheumatol</X00_Journal>. 2020 Sep;30(5):843–51.
- 16. Fajgenbaum DC. Novel insights and therapeutic approaches in idiopathic multicentric castleman disease. <X00_Journal>Blood</X00_Journal>. 2018 Nov 29;132(22):2323–30.
- 17. Nabel CS, Sameroff S, Shilling D, Alapat D, Ruth JR, Kawano M, et al. Virome capture sequencing does not identify active viral infection in unicentric and idiopathic multicentric Castleman disease. <X00_Journal>PLoS One</X00_Journal>. 2019 Jun 26;14(6):e0218660.
- 18. Wing A, Xu J, Meng W, Rosenfeld AM, Li EY, Wertheim G, et al. Transcriptome and unique cytokine microenvironment of Castleman disease. <X00_Journal>Mod Pathol</X00_Journal>. 2022;35(4):451–61.
- 19. Arenas DJ, Floess K, Kobrin D, Pai RAL, Srkalovic MB, Tamakloe MA, et al. Increased mTOR activation in idiopathic multicentric Castleman disease. <X00_Journal>Blood</X00_Journal>. 2020 May 7;135(19):1673–84.
- 20. Fajgenbaum DC, Langan RA, Japp AS, Partridge HL, Pierson SK, Singh A, et al. Identifying and targeting pathogenic PI3K/AKT/mTOR signaling in IL-6-blockade-refractory idiopathic multicentric Castleman disease. <X00_Journal>J Clin Invest</X00_Journal>. 2019 Aug 13;129(10):4451–63.
- 21. Pai RAL, Japp AS, Gonzalez M, Rasheed RF, Okumura M, Arenas D, et al. Type I IFN response associated with mTOR activation in the TAFRO subtype of idiopathic multicentric Castleman disease. <X00_Journal>JCI Insight</X00_Journal>. 2020 May 7;5(9):e135031.
- 22. Li H, Wang H, Nicholas J. Detection of direct binding of human herpesvirus 8-encoded interleukin-6 (vIL-6) to both gp130 and IL-6 receptor (IL-6R) and identification of amino acid residues of vIL-6 important for IL-6R-dependent and -independent signaling. <X00_Journal>J Virol</X00_Journal>. 2001 Apr;75(7):3325–34.
- 23. Moore PS, Boshoff C, Weiss RA, Chang Y. Molecular mimicry of human cytokine and cytokine response pathway genes by KSHV. <X00_Journal>Science</X00_Journal>. 1996 Dec 6;274(5293):1739–44.
- 24. Oksenhendler E, Carcelain G, Aoki Y, Boulanger E, Maillard A, Clauvel JP, et al. High levels of human herpesvirus 8 viral load, human interleukin-6, interleukin-10, and C reactive protein correlate with exacerbation of multicentric castleman disease in HIV-infected patients. <X00_Journal>Blood</X00_Journal>. 2000 Sep 15;96(6):2069–73.
- 25. Hoffmann C, Schmid H, Müller M, Teutsch C, van Lunzen J, Esser S, et al. Improved outcome with rituximab in patients with HIV-associated multicentric Castleman disease. <X00_Journal>Blood</X00_Journal>. 2011 Sep 29;118(13):3499–503.
- 26. Haq IU, Dalla Pria A, Papanastasopoulos P, Stegmann K, Bradshaw D, Nelson M, et al. The clinical application of plasma kaposi sarcoma herpesvirus viral load as a tumour biomarker: results from 704 patients. <X00_Journal>HIV Med</X00_Journal>. 2016 Jan;17(1):56–61.
- 27. Guihot A, Oksenhendler E, Galicier L, Marcelin AG, Papagno L, Bedin AS, et al. Multicentric Castleman disease is associated with polyfunctional effector memory HHV-8-specific CD8+ T cells. <X00_Journal>Blood</X00_Journal>. 2008 Feb 1;111(3):1387–95.
- 28. Sbihi Z, Dossier A, Boutboul D, Galicier L, Parizot C, Emarre A, et al. iNKT and memory B-cell alterations in HHV-8 multicentric Castleman disease. <X00_Journal>Blood</X00_Journal>. 2017 Feb 16;129(7):855–65.
- 29. Fajgenbaum DC, Uldrick TS, Bagg A, Frank D, Wu D, Srkalovic G, et al. International, evidence-based consensus diagnostic criteria for HHV-8-negative/idiopathic multicentric Castleman disease. <X00_Journal>Blood</X00_Journal>. 2017 Mar 23;129(12):1646–57.
- 30. Keller AR, Hochholzer L, Castleman B. Hyaline-vascular and plasma-cell types of giant lymph node hyperplasia of the mediastinum and other locations. <X00_Journal>Cancer</X00_Journal>. 1972 Mar;29(3):670–83.
- 31. Fajgenbaum DC, Wu D, Goodman A, Wong R, Chadburn A, Nasta S, et al. Insufficient evidence exists to use histopathologic subtype to guide treatment of idiopathic multicentric Castleman disease. <X00_Journal>Am J Hematol</X00_Journal>. 2020 Dec;95(12):1553–61.
- 32. Liu AY, Nabel CS, Finkelman BS, Ruth JR, Kurzrock R, van Rhee F, et al. Idiopathic multicentric Castleman’s disease: a systematic literature review. <X00_Journal>Lancet Haematol</X00_Journal>. 2016 Apr;3(4):e163–75.
- 33. Li Z, Lan X, Li C, Zhang Y, Wang Y, Xue W, et al. Recurrent PDGFRB mutations in unicentric Castleman disease. <X00_Journal>Leukemia</X00_Journal>. 2019 Apr;33(4):1035–8.
- 34. You L, Lin Q, Zhao J, Shi F, Young KH, Qian W, et al. Whole-exome sequencing identifies novel somatic alterations associated with outcomes in idiopathic multicentric Castleman disease. <X00_Journal>Br J Haematol</X00_Journal>. 2020 Mar;188(5):e64–67.
- 35. Butzmann A, Kumar J, Sridhar K, Gollapudi S, Ohgami RS. A review of genetic abnormalities in unicentric and multicentric Castleman disease. <X00_Journal>Biology</X00_Journal>. 2021 Mar 24;10(4):251.
- 36. van Rhee F, Oksenhendler E, Srkalovic G, Voorhees P, Lim M, Dispenzieri A, et al. International evidence-based consensus diagnostic and treatment guidelines for unicentric Castleman disease. <X00_Journal>Blood Adv</X00_Journal>. 2020 Dec 8;4(23):6039–50.
- 37. Mukherjee S, Martin R, Sande B, Glen C, Paige J, Yarlagadda S, et al. A longitudinal population level analysis of healthcare resource utilization, comorbidity, and survival in idiopathic multicentric castleman disease patients. Abstract 2059, 62nd ASH Meeting, Dec 5-8, 2020. <X00_Journal>Blood</X00_Journal>. 2020;136(Suppl 1):11.
- 38. van Rhee F, Voorhees P, Dispenzieri A, Fosså A, Srkalovic G, Ide M, et al. International, evidence-based consensus treatment guidelines for idiopathic multicentric Castleman disease. <X00_Journal>Blood</X00_Journal>. 2018 Nov 15;132(20):2115–24.
- 39. Bower M. How I treat HIV-associated multicentric Castleman disease. <X00_Journal>Blood Nov</X00_Journal>. 2010;25116(22):4415–21.
- 40. Nishikori A, Nishimura MF, Nishimura Y, Notohara K, Satou A, Moriyama M, et al. Investigation of IgG4-positive cells in idiopathic multicentric Castleman disease and validation of the 2020 exclusion criteria for IgG4-related disease. <X00_Journal>Pathol Int</X00_Journal>. 2022 Jan;72(1):43–52.
- 41. Sasaki T, Akiyama M, Kaneko Y, Takeuchi T. Immunoglobulin G4-related disease and idiopathic multicentric Castleman’s disease: confusable immune-mediated disorders. <X00_Journal>Rheumatology</X00_Journal>. 2022 Feb 2;61(2):490–501.
- 42. Bower M, Pria AD, Coyle C, Nelson M, Naresh K. Diagnostic criteria schemes for multicentric Castleman disease in 75 cases. <X00_Journal>J Acquir Immune Defic Syndr</X00_Journal>. 2014 Feb 1;65(2):e80–2.
- 43. Polizzotto MN, Uldrick TS, Wyvill KM, Aleman K, Marshall V, Wang V, et al. Clinical features and outcomes of patients with symptomatic kaposi sarcoma herpesvirus (KSHV)-associated inflammation: prospective characterization of KSHV inflammatory cytokine syndrome (KICS). <X00_Journal>Clin Infect Dis</X00_Journal>. 2016 Mar 15;62(6):730–8.
- 44. Morra DE, Pierson SK, Shilling D, Nemat S, Appiani C, Guilfoyle M, et al. Predictors of response to anti-IL6 monoclonal antibody therapy (siltuximab) in idiopathic multicentric Castleman disease: secondary analyses of phase II clinical trial data. <X00_Journal>Br J Haematol</X00_Journal>. 2019 Jan;184(2):232–41.
- 45. Jiang Y, Hou G, Zhu Z, Huo L, Li F, Cheng W. 18F-FDG PET/CT imaging features of patients with multicentric Castleman disease. <X00_Journal>Nucl Med Commun</X00_Journal>. 2021 Jul 1;42(7):833–8.
- 46. Koa B, Borja AJ, Aly M, Padmanabhan S, Tran J, Zhang V, et al. Emerging role of 18F-FDG PET/CT in Castleman disease: a review. <X00_Journal>Insights Imaging</X00_Journal>. 2021 Mar 11;12(1):35.
- 47. Talat N, Belgaumkar AP, Schulte KM. Surgery in Castleman’s disease: a systematic review of 404 published cases. <X00_Journal>Ann Surg</X00_Journal>. 2012 Apr;255(4):677–84.
- 48. Yu L, Shi M, Cai Q, Strati P, Hagemeister F, Zhai Q, et al. A novel predictive model for idiopathic multicentric castleman disease: the International Castleman Disease Consortium Study. <X00_Journal>Oncologist</X00_Journal>. 2020 Nov;25(11):963–73.
- 49. Oksenhendler E, Boutboul D, Fajgenbaum D, Mirouse A, Fieschi C, Malphettes M, et al. The full spectrum of Castleman disease: 273 patients studied over 20 years. <X00_Journal>Br J Haematol</X00_Journal>. 2018 Jan;180(2):206–16.
- 50. Bower M, Newsom-Davis T, Naresh K, Merchant S, Lee B, Gazzard B, et al. Clinical features and outcome in HIV-associated multicentric Castleman’s disease. <X00_Journal>J Clin Oncol</X00_Journal>. 2011 Jun 20;29(18):2481–6.
- 51. Zhang MY, Jia MN, Chen J, Feng J, Cao XX, Zhou DB, et al. UCD with MCD-like inflammatory state: surgical excision is highly effective. <X00_Journal>Blood Adv</X00_Journal>. 2021 Jan 12;5(1):122–8.
- 52. Naddaf E, Dispenzieri A, Mandrekar J, Mauermann ML. Clinical spectrum of Castleman disease-associated neuropathy. <X00_Journal>Neurology</X00_Journal>. 2016 Dec 6;87(23):2457–62.
- 53. Iwaki N, Fajgenbaum DC, Nabel CS, Gion Y, Kondo E, Kawano M, et al. Clinicopathologic analysis of TAFRO syndrome demonstrates a distinct subtype of HHV-8-negative multicentric castleman disease. <X00_Journal>Am J Hematol</X00_Journal>. 2016 Feb;91(2):220–6.
- 54. Nishimura Y, Fajgenbaum DC, Pierson SK, Iwaki N, Nishikori A, Kawano M, et al. Validated international definition of the thrombocytopenia, anasarca, fever, reticulin fibrosis, renal insufficiency, and organomegaly clinical subtype (TAFRO) of idiopathic multicentric Castleman disease. <X00_Journal>Am J Hematol</X00_Journal>. 2021 Oct 1;96(10):1241–52.
- 55. Kawabata H, Fujimoto S, Sakai T, Yanagisawa H, Kitawaki T, Nara K, et al. Patient’s age and D-dimer levels predict the prognosis in patients with TAFRO syndrome. <X00_Journal>Int J Hematol</X00_Journal>. 2021 Aug;114(2):179–88.
- 56. Suichi T, Misawa S, Sekiguchi Y, Shibuya K, Tsuneyama A, Suzuki YI, et al. Treatment response and prognosis of POEMS syndrome coexisting with Castleman disease. <X00_Journal>J Neurol Sci</X00_Journal>. 2020 Jun 15;413:116771.
- 57. Boutboul D, Fadlallah J, Chawki S, Fieschi C, Malphettes M, Dossier A, et al. Treatment and outcome of unicentric Castleman disease: a retrospective analysis of 71 cases. <X00_Journal>Br J Haematol</X00_Journal>. 2019 Jul;186(2):269–73.
- 58. Mohan M, Meek JC, Meek ME, Broadwater R, Alapat D, van Rhee F. Combinatorial treatment for unresectable unicentric Castleman disease. <X00_Journal>Eur J Haematol</X00_Journal>. 2021 Oct;107(4):484–8.
- 59. van Rhee F, Wong RS, Munshi N, Rossi JF, Ke XY, Fosså A, et al. Siltuximab for multicentric Castleman’s disease: a randomised, double-blind, placebo-controlled trial. <X00_Journal>Lancet Oncol</X00_Journal>. 2014 Aug;15(9):966–74.
- 60. van Rhee F, Casper C, Voorhees PM, Fayad LE, Gibson D, Kanhai K, et al. Long-term safety of siltuximab in patients with idiopathic multicentric Castleman disease: a prespecified, open-label, extension analysis of two trials. <X00_Journal>Lancet Haematol</X00_Journal>. 2020 Mar;7(3):e209–17.
- 61. Ebisawa K, Shimura A, Honda A, Masamoto Y, Nakahara F, Kurokawa M. Hemoglobin and C-reactive protein levels as predictive factors for long-term successful glucocorticoid treatment for multicentric Castleman’s disease. <X00_Journal>Leuk Lymphoma</X00_Journal>. 2021 Mar;62(3):614–9.
- 62. Dong Y, Zhang L, Nong L, Wang L, Liang Z, Zhou D, et al. Effectiveness of rituximab-containing treatment regimens in idiopathic multicentric Castleman disease. <X00_Journal>Ann Hematol</X00_Journal>. 2018 Sep;97(9):1641–7.
- 63. Zhang L, Zhao AL, Duan MH, Li ZY, Cao XX, Feng J, et al. Phase 2 study using oral thalidomide-cyclophosphamide-prednisone for idiopathic multicentric Castleman disease. <X00_Journal>Blood</X00_Journal>. 2019 Apr 18;133(16):1720–8.
- 64. Killian M, Viel S, Chalayer E, Forest F, Grange S, Bonnefoy PB, et al. JAK1/2 inhibition in severe TAFRO syndrome: a case report. <X00_Journal>Ann Int Med</X00_Journal>. 2021 May;174(5):719–21.
- 65. Lust H, Gong S, Remiker A, Rossoff J. Idiopathic multicentric Castleman disease with TAFRO clinical subtype responsive to IL-6/JAK inhibition: a pediatric case series. <X00_Journal>Pediatr Blood Cancer</X00_Journal>. 2021 Oct;68(10):e29261.
- 66. Bower M, Powles T, Williams S, Davis TN, Atkins M, Montoto S, et al. Brief communication: rituximab in HIV-associated multicentric castleman disease. <X00_Journal>Ann Intern Med</X00_Journal>. 2007 Dec 18;147(12):836–9.
- 67. Gérard L, Bérezné A, Galicier L, Meignin V, Obadia M, De Castro N, et al. Prospective study of rituximab in chemotherapy-dependent human immunodeficiency virus associated multicentric Castleman’s disease: ANRS 117 CastlemaB Trial. <X00_Journal>J Clin Oncol</X00_Journal>. 2007 Aug 1;25(22):3350–6.
- 68. Bower M, Veraitch O, Szydlo R, Charles P, Kelleher P, Gazzard B, et al. Cytokine changes during rituximab therapy in HIV-associated multicentric Castleman disease. <X00_Journal>Blood</X00_Journal>. 2009 May 7;113(19):4521–4.
- 69. Gérard L, Michot JM, Burcheri S, Fieschi C, Longuet P, Delcey V, et al. Rituximab decreases the risk of lymphoma in patients with HIV-associated multicentric Castleman disease. <X00_Journal>Blood</X00_Journal>. 2012 Mar 8;119(10):2228–33.
- 70. Powles T, Stebbing J, Montoto S, Nelson M, Gazzard B, Orkin C, et al. Rituximab as retreatment for rituximab pretreated HIV-associated multicentric Castleman disease. <X00_Journal>Blood</X00_Journal>. 2007 Dec 1;110(12):4132–3.
- 71. Abdallah NH, Habermann T, Buadi FK, Gertz MA, Lacy MQ, Rajkumar SV, et al. Multicentric castleman disease-a single center experience of treatment with a focus on autologous stem cell transplantation. <X00_Journal>Am J Hematol</X00_Journal>. 2022 Apr;97(4):401–10.
- 72. Pierson SK, Khor JS, Ziglar J, Liu A, Floess K, NaPier E, et al. ACCELERATE: a patient-powered natural history study design enabling clinical and therapeutic discoveries in a rare disorder. <X00_Journal>Cell Rep Med</X00_Journal>. 2020 Dec 22;1(9):100158.

