Background
Primary adrenal tumours account for 1–2 per cent of all canine neoplasias, and adrenalectomy has been recognised as the treatment of choice., The median survival following adrenalectomy is 492–953 days., , , However, the potential for intraoperative and postoperative complications associated with adrenalectomy is significant, and the excision of large tumours,, or vena caval tumour thrombi can be difficult.,
In general, radiation therapy dose is determined based on the dose tolerated by the surrounding normal tissues, so as to limit severe side effects. Radiation dose to the upper abdominal region is limited by the tolerance of normal tissues such as the kidneys, liver and small intestine.
With the recent advances in technology, image‐guided radiation therapy can be performed in veterinary medicine. The accelerator with CT is used in veterinary medicine, wherein after identifying the position of the tumour correctly high‐dose radiation can be delivered while sparing the surrounding normal tissue. Volumetric‐modulated arc stereotactic radiotherapy has also been reported for canine adrenocortical tumours, with a median overall survival time of 1030 days.
We here report the use of 3D conformal hypofractionated radiation therapy for large adrenal tumours in three dogs and have discussed their medical records.
Case presentation
Three dogs with large adrenal tumours who underwent radiation therapy in June 2011, July 2011 and February 2012 were included in the study.
Case 1
A seven‐year‐old male bulldog weighing 23.4 kg was presented to the referring veterinarian for vomiting for the past two weeks. Radiographic and ultrasonographic examinations revealed a mass in the upper abdominal area. The patient was referred to the Veterinary Teaching Hospital, Azabu University, for further evaluation.
Case 2
A 10‐year‐old neutered male shih tzu weighing 10.3 kg was presented to his primary veterinarian, and during the routine examination, an intraperitoneal mass was detected. Three days later, the dog was operated on in the referring hospital, and a left adrenal tumour was found. The adrenal tumour was deemed surgically unresectable because of the invasion into the surrounding tissues and the caudal vena cava (CVC). Based on intraoperative fine‐needle aspiration cytology the tumour was diagnosed as pheochromocytoma. On day 5, the patient was referred to the Veterinary Teaching Hospital, Azabu University, for further evaluation.
Case 3
A 10‐year‐old male miniature dachshund weighing 7.2 kg was presented to the referring veterinarian for a left‐sided neck mass. Following a physical examination and fine‐needle aspiration cytology, the mass was diagnosed as thyroid cancer. Radiographic and ultrasonographic examinations revealed a tumour in the upper abdominal area.
Investigations
The medical records of the dogs were evaluated for histopathological or cytological diagnosis, tumour size, tumour‐node‐metastases grade based on the WHO classification, tumour invasion into the CVC, radiotherapy protocols, the margin of the radiotherapy, frequency of therapy, radiation injury, treatment results and survival times (from completion of radiotherapy to death).
Treatment
General anaesthesia was administered for radiotherapy. Atropine sulphate hydrate (0.025 mg/kg subcutaneous; Atropine Sulfate Injection, Mitsubishi Tanabe Pharma, Osaka, Japan) was administered 15 minutes before the induction, and the dogs were given propofol (6 mg/kg intravenous; Rapinovet, Takeda Schering‐Plough Animal Health, Osaka, Japan) to aid intubation. After induction, the anaesthesia was maintained by isoflurane (Isoflurane for Animals, Mylan, PA). The dogs were placed in a prone position with a vacuum pillow (ESF‐19DN, Engineering System, Matsumoto, Japan). The mass lesion was identified in all cases by CT (Asteon, Toshiba, Tokyo). Radiation was calculated using a 3D computer planning software (XiO, Elekta KK, Tokyo). Beam shaping was achieved by using a multileaf collimator with 1 cm width at the isocentre. It is necessary to keep the internal margin and the set‐up margin to deliver a precise dose within the whole tumour. On the other hand, a wide irradiation margin is likely to impair the surrounding normal tissues. Therefore, in this case series, the irradiation margin was set to 0 mm so that the planning target volume was equal to the gross tumour volume. A 6 MV linear accelerator (Primus, Toshiba, Tokyo) was used. To limit the radiation‐related adverse events, the radiation dose was planned such that an intestine volume over 8 Gy was considered as 1 cm3, and 4 Gy for areas closer to the kidney within 33 per cent of the kidney volume. CT was taken from the opposite side of linear accelerator across a treatment couch. CT scans were taken before every treatment to correct for any positioning errors. If the tumour volume had changed significantly, a new plan was created. Tumour volume was calculated as follows: length × width × height × π/6. Adverse events were classified using the Veterinary Radiation Therapy Oncology Group (VRTOG) classification rubric and Veterinary Cooperative Oncology Group‐common terminology criteria for adverse events rubric (VCOG‐CTCAE).
Outcome and follow‐up
Case 1
The lesion was diagnosed as a right adrenal tumour. Ultrasonographic examination showed invasion into the surrounding tissue and the CVC, while thoracic radiographs ruled out pulmonary metastasis. Based on the WHO classification, the tumour was graded as T3N0M0. A CT examination performed on day 6 (figure 1, left) showed that the tumour measured 88 × 76 × 75 mm and had pushed the right kidney caudally. An intraoperative core biopsy was performed by laparotomy, followed by radiation therapy. The radiotherapy regimen included 23.7 Gy/three fractions/three weeks, and 95 per cent of the tumour received 7.9 Gy (figure 2). The right kidney over 4 Gy was only 26 per cent, and the intestine over 8 Gy was 1.1 ml in one fraction. Pathological examination of the tumour indicated an adenocarcinoma. Four months after treatment, the tumour size reduced to 66 × 61 × 42 mm, and the tumour volume was down to 34 per cent of the initial volume (figure 1, right), and this reduction was maintained for 11 months. There were no clinical radiation toxicities, including changes in renal size, and blood chemistry (before radiotherapy: alanine aminotransferase (ALT) 50 iu/l (reference range: 18–71), blood urea nitrogen (BUN) 11.6 mg/dl (reference range: 15–37) and Crea 0.6 mg/dl (reference range: 0.8–1.8), one month later: ALT 37 iu/l, BUN 11.0 mg/dl and Crea 0.6 mg/dl, and two years later: ALT 62 iu/dl, BUN 44.7 mg/dl and Crea 0.8 mg/dl). Hepatic changes around the CVC could be detected in the CT image (figure 1, right). However, adverse events based on VRTOG and VCOG‐CTCAE were not detected. Fifteen months after treatment, the tumour showed a gradual increase in size, with an invasion of the spine. Lung metastasis was detected 25 months later. The survival time, in this case, was 27 months after the last round of radiation therapy.

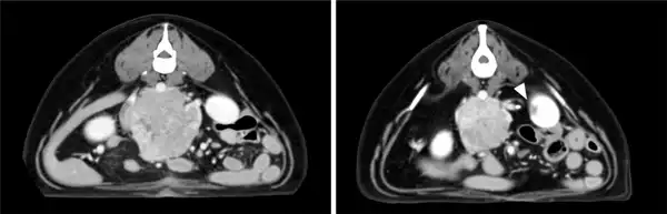
Figure 1
CT images of the adrenal tumour in case 1. An axial image on day 1 of radiotherapy (left). An axial image at eight months after the initial treatment (right) shows a reduction in the tumour size and changes in the adjacent liver (arrowhead).

Figure 2
Dose volume histogram in case 1 (red: tumour, dark magenta: small intestine and surrounding tumour, and light green: right kidney).
Case 2
Radiographic and ultrasonographic examinations revealed a mass in the upper abdominal area. Ultrasonography showed that the tumour measured 76 × 51 × 52 mm and had invaded the CVC. The thoracic radiographs ruled out pulmonary metastasis. Following a CT scan (figure 3, left), the tumour was graded as T3N0M0 based on the WHO classification. The radiotherapy regimen included 26 Gy/four fractions/four weeks, and 95 per cent of the tumour received 6.5 Gy. The left kidney over 4 Gy was 31 per cent, and the intestine over 8 Gy was 1.5 ml in one fraction. The first three rounds of radiotherapy followed the same plan, while the fourth one was modified due to a reduction in tumour size. One month after the completion of radiotherapy, a gradual reduction in tumour size was noted. Eighteen months later, the tumour size was reduced to 55 × 37 × 40 mm (figure 3, right), and the tumour volume was down to 40 per cent of the initial volume. There were no radiation toxicities, including changes in renal size, and blood chemistry (before radiotherapy: ALT 28 iu/l, BUN 8.8 mg/dl and Crea 0.5 mg/dl, one month later: ALT 25 iu/l, BUN 15.6 mg/dl and Crea 0.7 mg/dl, two years later: ALT 28 iu/dl, BUN 22.8 mg/dl and Crea 0.6 mg/dl). No adverse events based on VRTOG and VCOG‐CTCAE were detected. However, masses were detected in the spleen, liver and lung after 14, 15 and 17 months, respectively. The spleen mass was resected by the referred veterinary hospital and was diagnosed as a metastatic lesion by haematoxylin and eosin stain histopathology. The dog developed paresis, and the survival time was 25 months after the last radiation therapy.

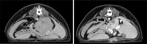
Figure 3
CT images of the adrenal tumour in case 2. An axial image on day 1 of radiotherapy (left). An axial image at eight months after the initial treatment (right) shows a reduction in the tumour size and changes in the adjacent renal cortex (arrowhead).
Case 3
The abdominal tumour was found to be a right adrenal tumour, which was deemed surgically unresectable because of its invasion into the surrounding tissues. A CT scan found that the tumour had a major axis length of 78 mm. The adrenocorticotropic hormone stimulation test was negative for hyperadrenocorticism. The thoracic radiographs showed no signs of pulmonary metastasis. The tumour was graded as T3N0M0 based on the WHO classification. Due to the high risk associated with the excision of the adrenal tumour, radiation therapy was chosen. We planned to treat the thyroid and adrenal tumours simultaneously using a hypofractionated protocol. The thyroid tumour was irradiated with 32 Gy/four fractions/four weeks. The radiotherapy regimen for the adrenal tumour included 26 Gy/four fractions/four weeks, and 95 per cent of the tumour received 6.5 Gy. The left kidney over 4 Gy was 12 per cent, and the intestine over 8 Gy was 1.0 ml in one fraction. Four months after treatment, the adrenal tumour showed no change in size. There were no clinical radiation toxicities, including changes in renal size, and blood chemistry (before radiation: ALT 230 iu/l, BUN 11.1 mg/dl, Crea 0.3 mg/dl; one month later: ALT 259 iu/l, BUN 10.6 mg/dl, Crea 0.4 mg/dl; 1.5 years later: ALT 481 iu/dl, BUN 12.2 mg/dl, Crea 0.2 mg/dl). No adverse events based on VRTOG and VCOG‐CTCAE were detected except for consistent grade 2 elevation of ALT. However, four months after the radiation therapy, two liver masses (1 cm each) were detected. Fourteen months after the treatment, while the adrenal tumour showed no change in size, the liver masses gradually increased in size to 2 cm. Multiple lung masses were also detected. The survival time, in this case, was 19 months after the last radiation therapy. The cause of death was intra‐abdominal haemorrhage from the metastatic tumour of the liver.
Discussion
Hypofractionated radiation therapy is safe and effective in the treatment of adrenal tumours in dogs. In two of the three cases, it resulted in a reduction in tumour size. The survival time in all cases was over one year. All three cases developed metastatic lesions. However, radiation therapy did not cause any clinical adverse side effects, including clinical symptoms and abnormal blood test findings except the subclinical changes in CT findings. Additionally, no complications were reported during the follow‐up period.
Surgical adrenalectomy is the treatment of choice for dogs with adrenal gland tumours., , , , , Massari et al have reported that the survival times following adrenalectomy were significantly shorter in dogs with (A) an adrenal gland tumour with the major axis length at least 5 cm (median survival time: 156 days), (B) metastasis (120 days), or (C) vein thrombosis (2.5 days). Lang et al have reported that the adrenal tumour size and presence of acute adrenal haemorrhage were significative prognostic factors for survival in 60 cases. Each 1 mm increase in tumour size was associated with a 7.9 per cent increase in the odds of perioperative mortality. In this study, three dogs had tumours with major axis length at least 6 cm, and two dogs had an involvement of the vena cava, which was a negative prognostic factor for adrenalectomy. However, they all lived for more than 19 months. Therefore, radiation therapy may be effective in dogs with adrenal gland tumours that have invaded the vena cava.
To reduce the side effects of radiation, it is important to have a precise irradiation treatment, and to consider the maximum tolerated dose for the normal surrounding tissues. In this study, since most of the surrounding normal tissue included the liver and kidney, we checked the radiation dose for these organs. Moreover, the set‐up reproducibility was confirmed by CT on the opposite side of linear accelerator before every treatment, and if the tumour reduction was important, a new adapted plan was calculated. Thus, we were able to administer radiation therapy without any adverse clinical effects such as perforation of the digestive tract, and renal insufficiency.
This study has some limitations: the first one is the variation in the irradiation protocols. Since the tumour in case 3 was surgically unresectable, we could not obtain a diagnosis based on histology or cytology. Additionally, given the invasion of the surrounding tissues by the tumour, the irradiation margin was not enough, because of the risk of radiation‐related complications to the normal tissues. Even though the tumours occurred in the upper abdomen, image‐guided radiation therapy could have been administered safely.
In conclusion, radiation therapy, especially 3D conformal hypofractionated radiation therapy, is an option in cases of inoperable adrenal tumours in dogs.
Learning points
Radiotherapy is safe for treatment of tumours in the upper abdominal cavity.
Unresectable adrenal grand tumours can be treated by 3D conformal hypofractionated radiotherapy.
Late stage of adrenal gland tumours metastasises to other organs.
Contributors TM and YN were responsible for RT management and diagnostic imaging. EK, TI and YN were responsible for case follow‐up. All authors wrote and corrected the manuscript.
Funding The authors have not declared a specific grant for this research from any funding agency in the public, commercial or not‐for‐profit sectors.
Competing interests None declared.
Provenance and peer review Not commissioned; externally peer reviewed.
Data availability statement Data are available upon request.
References
- 1. Lunn KF, Page RL. Tumors of the endocrine system. In: Withrow SJ, Vail DM, Page RL, eds. Withrow and McEwen’s small animal clinical oncology. 5th edn. St. Louis: Sauders Elsevier, 2013: 504–31.
- 2. Anderson CR, Birchard SJ, Powers BE, et al. Surgical treatment of adrenocortical tumors: 21 cases (1990‐1996). J Am Anim Hosp Assoc 2001; 37: 93–7. doi: http://doi.org/10.5326/15473317‐37‐1‐93
- 3. Lang JM, Schertel E, Kennedy S, et al. Elective and emergency surgical management of adrenal gland tumors: 60 cases (1999–2006). J Am Anim Hosp Assoc 2011; 47: 428–35. doi: http://doi.org/10.5326/JAAHA‐MS‐5669
- 4. Schwartz P, Kovak JR, Koprowski A, et al. Evaluation of prognostic factors in the surgical treatment of adrenal gland tumors in dogs: 41 cases (1999–2005). J Am Vet Med Assoc 2008; 232: 77–84. doi: http://doi.org/10.2460/javma.232.1.77
- 5. Massari F, Nicoli S, Romanelli G, et al. Adrenalectomy in dogs with adrenal gland tumors: 52 cases (2002–2008). J Am Vet Med Assoc 2011; 239: 216–21. doi: http://doi.org/10.2460/javma.239.2.216
- 6. Barrera JS, Bernard F, Ehrhart EJ, et al. Evaluation of risk factors for outcome associated with adrenal gland tumors with or without invasion of the caudal vena cava and treated via adrenalectomy in dogs: 86 cases (1993–2009). J Am Vet Med Assoc 2013; 242: 1715–21. doi: http://doi.org/10.2460/javma.242.12.1715
- 7. Emami B, Lyman J, Brown A, et al. Tolerance of normal tissue to therapeutic irradiation. Int J Radiat Oncol Biol Phys 1991; 21: 109–22. doi: http://doi.org/10.1016/0360‐3016(91)90171‐Y
- 8. Dolera M, Malfassi L, Pavesi S, et al. Volumetric‐modulated Arc stereotactic radiotherapy for canine adrenocortical tumours with vascular invasion. J Small Anim Pract 2016; 57: 710–7. doi: http://doi.org/10.1111/jsap.12592
- 9. Owen LN. Classification of tumors in domestic animals. Geneva: World Health Organization, 1980: 49.
- 10. LaDue T, Klein MK. Veterinary radiation therapy Oncology Group. toxicity criteria of the veterinary radiation therapy Oncology Group. Vet Radiol Ultrasound 2001; 42: 475–6.
- 11.
- 12. Axlund TW, Behrend EN, Winklet JT. Surgical treatment of canine hyperadrenocorticism. Compendium on Continuing Education for the Practicing Veterinarian, 2003: 334–47.
- 13. Kyles AE, Feldman EC, De Cock HEV, et al. Surgical management of adrenal gland tumors with and without associated tumor thrombi in dogs: 40 cases (1994‐2001). J Am Vet Med Assoc 2003; 223: 654–62. doi: http://doi.org/10.2460/javma.2003.223.654
- 14. Green EM, Forrest LJ, Adams WM. A vacuum‐formable mattress for veterinary radiotherapy positioning: comparison with conventional methods. Vet Radiol Ultrasound 2003; 44: 476–9. doi: http://doi.org/10.1111/j.1740‐8261.2003.tb00488.x